• Tel: 858.663.9055
  • SeparatorEmail: info@nsjbio.com
  • Tel: 858.663.9055
  • Email: info@nsjbio.com
Home >> Antibodies >> BCAT1 Antibody / Branched-chain Aminotransferase 1

BCAT1 Antibody / Branched-chain Aminotransferase 1 (R30615)

  Catalog No Formulation Size Price (USD)  
Image R30615 0.5mg/ml if reconstituted with 0.2ml sterile DI water 100 ug 439
Bulk quote request
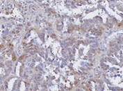
IHC staining of FFPE human pancreatic cancer tissue with BCAT1 antibody. HIER: boil tissue sections in pH8 EDTA for 20 min and allow to cool before testing.
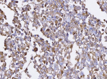
IHC staining of FFPE human ovarian adenoma tissue with BCAT1 antibody. HIER: boil tissue sections in pH8 EDTA for 20 min and allow to cool before testing.
Western blot testing of human 1) Raji and 2) MOLT4 cell lysate with BCAT1 antibody. Predicted molecular weight ~43 kDa.
Availability 1-3 business days
Species Reactivity Human
Format Antigen affinity purified
Clonality Polyclonal (rabbit origin)
Isotype Rabbit IgG
Purity Antigen affinity
Buffer Lyophilized from 1X PBS with 2% Trehalose
UniProt P54687
Localization Cytoplasmic
Applications Western Blot : 0.5-1ug/ml
Immunohistochemistry (FFPE) : 2-5ug/ml
Limitations This BCAT1 antibody is available for research use only.
Review this product on BioCompare and get a $20 Amazon gift card

Related Products

  • Applications : WB, IHC-P, FACS, Direct ELISA
    Reactivity : Human, Mouse, Rat

Description

Branched-chain Aminotransferase 1 is also know as BCT1. The gene is highly expressed early in embryogenesis, and during organogenesis its expression is localized to the neural tube, the somites, and the mesonephric tubules. The gene is also expressed in several MYC-based tumors. Lack of the enzyme BCAT1 can cause auxotroph, a kind of auxotrophic mutant in Chinese-hamster ovary cells that lacks the ability to grow if alpha-ketoisovaleric acid, alpha-ketoisocaproic acid, and alpha-keto-beta-methylvaleric acid are substituted for valine, leucine, and isoleucine in the culture medium.

Application Notes

The stated application concentrations are suggested starting amounts. Titration of the BCAT1 antibody may be required due to differences in protocols and secondary/substrate sensitivity.

Immunogen

An amino acid sequence from the C-terminus of human BCAT1 (KLASRILSKLTDIQYGR) was used as the immunogen for this BCAT1 antibody.

Storage

After reconstitution, the BCAT1 antibody can be stored for up to one month at 4oC. For long-term, aliquot and store at -20oC. Avoid repeated freezing and thawing.

Cross
Bulk Quote Request Form
Name*:
Organization*:
Email*:
Phone Number*:
Catalog No.*:
Comments and Specifics(amount, formulation, etc.)*:
Validation code: Captchapackage Image


Can't read the image? click here to refresh.
    *required field

Your bulk quote request has been submitted successfully!

Please contact us if you have any questions.