• Tel: 858.663.9055
  • SeparatorEmail: info@nsjbio.com
  • Tel: 858.663.9055
  • Email: info@nsjbio.com
Home >> Antibodies >> BCAP31 Antibody / B-cell receptor-associated protein 31

BCAP31 Antibody / B-cell receptor-associated protein 31 (FY12546)

  Catalog No Formulation Size Price (USD)  
Image FY12546 Adding 0.2 ml of distilled water will yield a concentration of 500 ug/ml 100 ug 439
Bulk quote request
Immunofluorescent staining of BCAP31 using anti-BCAP31 antibody (green). BCAP31 was detected in a paraffin-embedded section of human colon cancer tissue. Heat mediated antigen retrieval was performed in EDTA buffer (pH 8.0, epitope retrieval solution). The tissue section was blocked with 10% goat serum. The tissue section was then incubated with 5 ug/ml rabbit anti-BCAP31 antibody overnight at 4oC. DyLight 488 Conjugated Goat Anti-Rabbit IgG was used as secondary antibody at 1:500 dilution and incubated for 30 minutes at 37oC. The section was counterstained with DAPI nuclear stain (blue). Visualize using a fluorescence microscope and filter sets appropriate for the label used.
Western blot analysis of BCAP31 using anti-BCAP31 antibody. Lane 1: human 293T whole cell lysates, Lane 2: human whole cell lysates, Lane 3: human Hela whole cell lysates, Lane 4: human placenta tissue lysates, Lane 5: rat liver tissue lysates, Lane 6: rat PC-12 whole cell lysates, Lane 7: mouse liver tissue lysates, Lane 8: mouse NIH/3T3 whole cell lysates. After electrophoresis, proteins were transferred to a nitrocellulose membrane at 150 mA for 50-90 minutes. Blocked the membrane with 5% non-fat milk/TBS for 1.5 hour at RT. The membrane was incubated with rabbit anti-BCAP31 antibody at 0.5 ug/ml overnight at 4oC, then washed with TBS-0.1%Tween 3 times with 5 minutes each and probed with a goat anti-rabbit IgG-HRP secondary antibody at a dilution of 1:5000 for 1.5 hour at RT. The signal was developed using enhanced chemiluminescent. A specific band was detected for BCAP31 at approximately 28 kDa. The expected molecular weight of BCAP31 is ~28 kDa.
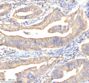
Immunohistochemical staining of BCAP31 using anti-BCAP31 antibody. BCAP31 was detected in a paraffin-embedded section of human lung adenocarcinoma tissue. Heat mediated antigen retrieval was performed in EDTA buffer (pH 8.0, epitope retrieval solution). The tissue section was blocked with 10% goat serum. The tissue section was then incubated with 2 ug/ml rabbit anti-BCAP31 antibody overnight at 4oC. Peroxidase Conjugated Goat Anti-rabbit IgG was used as secondary antibody and incubated for 30 minutes at 37oC. The tissue section was developed using an HRP secondary and DAB substrate.
Immunohistochemical staining of BCAP31 using anti-BCAP31 antibody. BCAP31 was detected in a paraffin-embedded section of human ovarian cancer tissue. Heat mediated antigen retrieval was performed in EDTA buffer (pH 8.0, epitope retrieval solution). The tissue section was blocked with 10% goat serum. The tissue section was then incubated with 2 ug/ml rabbit anti-BCAP31 antibody overnight at 4oC. Peroxidase Conjugated Goat Anti-rabbit IgG was used as secondary antibody and incubated for 30 minutes at 37oC. The tissue section was developed using an HRP secondary and DAB substrate.
Immunohistochemical staining of BCAP31 using anti-BCAP31 antibody. BCAP31 was detected in a paraffin-embedded section of human placenta tissue. Heat mediated antigen retrieval was performed in EDTA buffer (pH 8.0, epitope retrieval solution). The tissue section was blocked with 10% goat serum. The tissue section was then incubated with 2 ug/ml rabbit anti-BCAP31 antibody overnight at 4oC. Peroxidase Conjugated Goat Anti-rabbit IgG was used as secondary antibody and incubated for 30 minutes at 37oC. The tissue section was developed using an HRP secondary and DAB substrate.
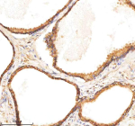
Immunohistochemical staining of BCAP31 using anti-BCAP31 antibody. BCAP31 was detected in a paraffin-embedded section of human thyroid cancer tissue. Heat mediated antigen retrieval was performed in EDTA buffer (pH 8.0, epitope retrieval solution). The tissue section was blocked with 10% goat serum. The tissue section was then incubated with 2 ug/ml rabbit anti-BCAP31 antibody overnight at 4oC. Peroxidase Conjugated Goat Anti-rabbit IgG was used as secondary antibody and incubated for 30 minutes at 37oC. The tissue section was developed using an HRP secondary and DAB substrate.
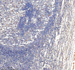
Immunohistochemical staining of BCAP31 using anti-BCAP31 antibody. BCAP31 was detected in a paraffin-embedded section of human tonsil tissue. Heat mediated antigen retrieval was performed in EDTA buffer (pH 8.0, epitope retrieval solution). The tissue section was blocked with 10% goat serum. The tissue section was then incubated with 2 ug/ml rabbit anti-BCAP31 antibody overnight at 4oC. Peroxidase Conjugated Goat Anti-rabbit IgG was used as secondary antibody and incubated for 30 minutes at 37oC. The tissue section was developed using an HRP secondary and DAB substrate.
Immunofluorescent staining of BCAP31 using anti-BCAP31 antibody (green). BCAP31 was detected in an immunocytochemical section of cells. Enzyme antigen retrieval was performed using IHC enzyme antigen retrieval reagent for 15 mins. The cells were blocked with 10% goat serum. And then incubated with 5 ug/ml rabbit anti-BCAP31 antibody overnight at 4oC. DyLight 488 Conjugated Goat Anti-Rabbit IgG was used as secondary antibody at 1:500 dilution and incubated for 30 minutes at 37oC. The section was counterstained with DAPI nuclear stain (blue). Visualize using a fluorescence microscope and filter sets appropriate for the label used.
Flow Cytometry analysis of cells using anti-BCAP31 antibody. Overlay histogram showing cells stained with (Blue line). To facilitate intracellular staining, cells were fixed with 4% paraformaldehyde and permeabilized with permeabilization buffer. The cells were blocked with 10% normal goat serum. And then incubated with rabbit anti-BCAP31 antibody (1 ug/million cells) for 30 min at 20oC. DyLight 488 conjugated goat anti-rabbit IgG (5-10 ug/million cells) was used as secondary antibody for 30 minutes at 20oC. Isotype control antibody (Green line) was rabbit IgG (1 ug/million cells) used under the same conditions. Unlabelled sample without incubation with primary antibody and secondary antibody (Red line) was used as a blank control.
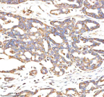
Immunohistochemical staining of BCAP31 using anti-BCAP31 antibody. BCAP31 was detected in a paraffin-embedded section of human colon cancer tissue. Heat mediated antigen retrieval was performed in EDTA buffer (pH 8.0, epitope retrieval solution). The tissue section was blocked with 10% goat serum. The tissue section was then incubated with 2 ug/ml rabbit anti-BCAP31 antibody overnight at 4oC. Peroxidase Conjugated Goat Anti-rabbit IgG was used as secondary antibody and incubated for 30 minutes at 37oC. The tissue section was developed using an HRP secondary and DAB substrate.
Immunofluorescent staining of BCAP31 using anti-BCAP31 antibody (green). BCAP31 was detected in a paraffin-embedded section of human prostate cancer tissue. Heat mediated antigen retrieval was performed in EDTA buffer (pH 8.0, epitope retrieval solution). The tissue section was blocked with 10% goat serum. The tissue section was then incubated with 5 ug/ml rabbit anti-BCAP31 antibody overnight at 4oC. DyLight 488 Conjugated Goat Anti-Rabbit IgG was used as secondary antibody at 1:500 dilution and incubated for 30 minutes at 37oC. The section was counterstained with DAPI nuclear stain (blue). Visualize using a fluorescence microscope and filter sets appropriate for the label used.
Availability 1-2 days
Species Reactivity Human, Mouse, Rat
Format Lyophilized
Clonality Polyclonal (rabbit origin)
Isotype Rabbit IgG
Purity Immunogen affinity purified
Buffer Each vial contains 4 mg Trehalose, 0.9 mg NaCl, 0.2 mg Na2HPO4.
UniProt P51572
Localization ER
Applications Western Blot : 0.25-0.5ug/ml
Immunohistochemistry : 2-5ug/ml
Immunofluorescence : 5ug/ml
Immunocytochemistry : 5ug/ml
Immunoprecipitation : 2-4ug/500ug of lysate
Flow Cytometry : 1-3ug/million cells
ELISA : 0.1-0.5ug/ml
Limitations This BCAP31 antibody is available for research use only.
Review this product on BioCompare and get a $20 Amazon gift card

Description

BCAP31 antibody detects B-cell receptor-associated protein 31, an integral endoplasmic reticulum (ER) membrane protein that functions as a chaperone and adaptor in protein trafficking and apoptosis regulation. BCAP31 is a member of the BCAP31 family, which includes BCAP29, and plays crucial roles in protein quality control, ER-Golgi transport, and caspase-mediated cell death. The BCAP31 antibody is used in cell biology and immunology research to study membrane trafficking, ER stress, and apoptotic signaling.

BCAP31 is encoded by the BCAP31 gene located on the X chromosome (Xp22.13). The protein is approximately 28 kilodaltons and contains three transmembrane domains with a cytoplasmic C-terminal tail that interacts with diverse partners, including BCL2 and procaspase-8. These interactions position BCAP31 at the intersection of the secretory and apoptotic pathways, integrating ER homeostasis with cell death regulation.

The BCAP31 antibody detects a 28 kilodalton band on western blot and shows reticular ER staining consistent with its localization. BCAP31 forms complexes with chaperones such as calnexin and Sec61, assisting in the folding and export of glycoproteins from the ER to the Golgi apparatus. It also mediates ER retention or degradation of misfolded proteins, linking it to the unfolded protein response (UPR).

In apoptosis, BCAP31 acts as a substrate for caspase cleavage, generating pro-apoptotic fragments that amplify death signaling through mitochondria. This dual role allows BCAP31 to serve as both a quality control checkpoint and a stress sensor. Mutations or deletions of BCAP31 cause X-linked intellectual disability syndromes characterized by developmental delay and hearing loss, emphasizing its importance in neuronal maintenance.

BCAP31 also contributes to immune cell signaling and antigen presentation by modulating trafficking of MHC class I molecules. NSJ Bioreagents provides a validated BCAP31 antibody optimized for western blot, immunofluorescence, and ER-Golgi transport analysis, supporting research into protein folding, apoptosis regulation, and membrane trafficking.

Application Notes

Optimal dilution of the BCAP31 antibody should be determined by the researcher.

Immunogen

E.coli-derived human BAP31/BCAP31 recombinant protein (Position: M1-D242) was used as the immunogen for the BCAP31 antibody.

Storage

After reconstitution, the BCAP31 antibody can be stored for up to one month at 4oC. For long-term, aliquot and store at -20oC. Avoid repeated freezing and thawing.

Cross
Bulk Quote Request Form
Name*:
Organization*:
Email*:
Phone Number*:
Catalog No.*:
Comments and Specifics(amount, formulation, etc.)*:
Validation code: Captchapackage Image


Can't read the image? click here to refresh.
    *required field

Your bulk quote request has been submitted successfully!

Please contact us if you have any questions.