• Tel: 858.663.9055
  • SeparatorEmail: info@nsjbio.com
  • Tel: 858.663.9055
  • Email: info@nsjbio.com
Home >> Antibodies >> BCAP29 Antibody / B-cell receptor-associated protein 29

BCAP29 Antibody / B-cell receptor-associated protein 29 (FY12433)

  Catalog No Formulation Size Price (USD)  
Image FY12433 Adding 0.2 ml of distilled water will yield a concentration of 500 ug/ml 100 ug 439
Bulk quote request
Immunofluorescent staining of BCAP29 using anti-BCAP29 antibody (green). BCAP29 was detected in a paraffin-embedded section of human prostate cancer tissue. Heat mediated antigen retrieval was performed in EDTA buffer (pH 8.0, epitope retrieval solution). The tissue section was blocked with 10% goat serum. The tissue section was then incubated with 5 ug/ml rabbit anti-BCAP29 antibody overnight at 4oC. DyLight 488 Conjugated Goat Anti-Rabbit IgG was used as secondary antibody at 1:500 dilution and incubated for 30 minutes at 37oC. The section was counterstained with DAPI nuclear stain (blue). Visualize using a fluorescence microscope and filter sets appropriate for the label used.
Western blot analysis of BCAP29 using anti-BCAP29 antibody. Lane 1: human HUVEC whole cell lysates, Lane 2: human U251 whole cell lysates, Lane 3: human K562 whole cell lysates, Lane 4: human MCF-7 whole cell lysates. After electrophoresis, proteins were transferred to a nitrocellulose membrane at 150 mA for 50-90 minutes. Blocked the membrane with 5% non-fat milk/TBS for 1.5 hour at RT. The membrane was incubated with rabbit anti-BCAP29 antibody at 0.5 ug/ml overnight at 4oC, then washed with TBS-0.1%Tween 3 times with 5 minutes each and probed with a goat anti-rabbit IgG-HRP secondary antibody at a dilution of 1:5000 for 1.5 hour at RT. The signal was developed using enhanced chemiluminescent. BCAP29 (~29 kDa predicted) was detected at ~24-25 kDa, consistent with its reported anomalous migration due to hydrophobic transmembrane structure and limited SDS binding.
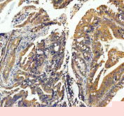
Immunohistochemical staining of BCAP29 using anti-BCAP29 antibody. BCAP29 was detected in a paraffin-embedded section of human lung adenocarcinoma tissue. Heat mediated antigen retrieval was performed in EDTA buffer (pH 8.0, epitope retrieval solution). The tissue section was blocked with 10% goat serum. The tissue section was then incubated with 2 ug/ml rabbit anti-BCAP29 antibody overnight at 4oC. Peroxidase Conjugated Goat Anti-rabbit IgG was used as secondary antibody and incubated for 30 minutes at 37oC. The tissue section was developed using an HRP secondary and DAB substrate.
Immunohistochemical staining of BCAP29 using anti-BCAP29 antibody. BCAP29 was detected in a paraffin-embedded section of human prostatic acinar adenocarcinoma tissue. Heat mediated antigen retrieval was performed in EDTA buffer (pH 8.0, epitope retrieval solution). The tissue section was blocked with 10% goat serum. The tissue section was then incubated with 2 ug/ml rabbit anti-BCAP29 antibody overnight at 4oC. Peroxidase Conjugated Goat Anti-rabbit IgG was used as secondary antibody and incubated for 30 minutes at 37oC. The tissue section was developed using an HRP secondary and DAB substrate.
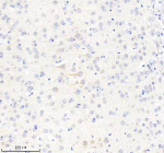
Immunohistochemical staining of BCAP29 using anti-BCAP29 antibody. BCAP29 was detected in a paraffin-embedded section of mouse brain tissue. Heat mediated antigen retrieval was performed in EDTA buffer (pH 8.0, epitope retrieval solution). The tissue section was blocked with 10% goat serum. The tissue section was then incubated with 2 ug/ml rabbit anti-BCAP29 antibody overnight at 4oC. Peroxidase Conjugated Goat Anti-rabbit IgG was used as secondary antibody and incubated for 30 minutes at 37oC. The tissue section was developed using an HRP secondary and DAB substrate.
Immunohistochemical staining of BCAP29 using anti-BCAP29 antibody. BCAP29 was detected in a paraffin-embedded section of rat brain tissue. Heat mediated antigen retrieval was performed in EDTA buffer (pH 8.0, epitope retrieval solution). The tissue section was blocked with 10% goat serum. The tissue section was then incubated with 2 ug/ml rabbit anti-BCAP29 antibody overnight at 4oC. Peroxidase Conjugated Goat Anti-rabbit IgG was used as secondary antibody and incubated for 30 minutes at 37oC. The tissue section was developed using an HRP secondary and DAB substrate.
Immunofluorescent staining of BCAP29 using anti-BCAP29 antibody (green). BCAP29 was detected in an immunocytochemical section of U2OS cells. Enzyme antigen retrieval was performed using IHC enzyme antigen retrieval reagent for 15 mins. The cells were blocked with 10% goat serum. And then incubated with 5 ug/ml rabbit anti-BCAP29 antibody overnight at 4oC. DyLight 488 Conjugated Goat Anti-Rabbit IgG was used as secondary antibody at 1:500 dilution and incubated for 30 minutes at 37oC. The section was counterstained with DAPI nuclear stain (blue). Visualize using a fluorescence microscope and filter sets appropriate for the label used.
Flow Cytometry analysis of cells using anti-BCAP29 antibody. Overlay histogram showing cells stained with (Blue line). To facilitate intracellular staining, cells were fixed with 4% paraformaldehyde and permeabilized with permeabilization buffer. The cells were blocked with 10% normal goat serum. And then incubated with rabbit anti-BCAP29 antibody (1 ug/million cells) for 30 min at 20oC. DyLight 488 conjugated goat anti-rabbit IgG (5-10 ug/million cells) was used as secondary antibody for 30 minutes at 20oC. Isotype control antibody (Green line) was rabbit IgG (1 ug/million cells) used under the same conditions. Unlabelled sample without incubation with primary antibody and secondary antibody (Red line) was used as a blank control.
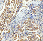
Immunohistochemical staining of BCAP29 using anti-BCAP29 antibody. BCAP29 was detected in a paraffin-embedded section of human colorectal adenocarcinoma tissue. Heat mediated antigen retrieval was performed in EDTA buffer (pH 8.0, epitope retrieval solution). The tissue section was blocked with 10% goat serum. The tissue section was then incubated with 2 ug/ml rabbit anti-BCAP29 antibody overnight at 4oC. Peroxidase Conjugated Goat Anti-rabbit IgG was used as secondary antibody and incubated for 30 minutes at 37oC. The tissue section was developed using an HRP secondary and DAB substrate.
Availability 1-2 days
Species Reactivity Human, Mouse, Rat
Format Lyophilized
Clonality Polyclonal (rabbit origin)
Isotype Rabbit IgG
Purity Immunogen affinity purified
Buffer Each vial contains 4 mg Trehalose, 0.9 mg NaCl, 0.2 mg Na2HPO4.
UniProt Q9UHQ4
Localization Cytoplasm (ER)
Applications Western Blot : 0.25-0.5ug/ml
Immunohistochemistry : 2-5ug/ml
Immunocytochemistry : 5ug/ml
Immunofluorescence : 5ug/ml
Flow Cytometry : 1-3ug/million cells
ELISA : 0.1-0.5ug/ml
Limitations This BCAP29 antibody is available for research use only.
Review this product on BioCompare and get a $20 Amazon gift card

Description

The BCAP29 antibody targets B-cell receptor-associated protein 29, a membrane-associated chaperone encoded by the BCAP29 gene. B-cell receptor-associated protein 29 localizes mainly to the endoplasmic reticulum (ER) and Golgi apparatus, where it functions in protein trafficking, quality control, and ER-to-Golgi transport. It forms part of a complex with BCAP31, facilitating the export of membrane and secretory proteins. The BCAP29 antibody provides a powerful research tool for examining intracellular trafficking, membrane-protein maturation, and immune signaling.

B-cell receptor-associated protein 29 contributes to proper folding and assembly of multimeric proteins in the ER. It interacts with several chaperone components, including Sec61 and calnexin, to ensure accurate post-translational processing before cargo delivery to the Golgi. The BCAP29 antibody supports localization studies demonstrating its distribution along ER membranes and cis-Golgi compartments. Through its cooperation with BCAP31, it links cargo transport with apoptotic signaling under stress conditions.

In B lymphocytes, B-cell receptor-associated protein 29 participates in antigen receptor processing and trafficking. The BCAP29 antibody enables investigation of these processes and provides insight into how ER quality control affects immune-receptor assembly. It is also expressed in non-immune cells, indicating a more general role in secretory-pathway regulation. Disruption of BCAP29 function has been associated with altered membrane trafficking and ER stress responses.

Emerging evidence suggests B-cell receptor-associated protein 29 may modulate apoptosis and calcium homeostasis. Its interaction with the pro-apoptotic regulator BCL2 family proteins suggests that BCAP29 may act as a mediator between ER stress and mitochondrial signaling. The BCAP29 antibody allows researchers to study these molecular connections in models of neurodegeneration, immune activation, and cancer.

The BCAP29 antibody performs effectively in western blotting, immunofluorescence, and immunohistochemistry, producing characteristic perinuclear staining consistent with ER localization. NSJ Bioreagents provides this antibody as a validated, high-specificity reagent suitable for cell biology, immunology, and molecular research. By enabling precise detection of B-cell receptor-associated protein 29, the BCAP29 antibody advances understanding of ER quality control, trafficking regulation, and the interplay between membrane transport and apoptotic pathways.

Application Notes

Optimal dilution of the BCAP29 antibody should be determined by the researcher.

Immunogen

E.coli-derived human BAP29/BCAP29 recombinant protein (Position: L64-L241) was used as the immunogen for the BCAP29 antibody.

Storage

After reconstitution, the BCAP29 antibody can be stored for up to one month at 4oC. For long-term, aliquot and store at -20oC. Avoid repeated freezing and thawing.

Cross
Bulk Quote Request Form
Name*:
Organization*:
Email*:
Phone Number*:
Catalog No.*:
Comments and Specifics(amount, formulation, etc.)*:
Validation code: Captchapackage Image


Can't read the image? click here to refresh.
    *required field

Your bulk quote request has been submitted successfully!

Please contact us if you have any questions.