• Tel: 858.663.9055
  • SeparatorEmail: info@nsjbio.com
  • Tel: 858.663.9055
  • Email: info@nsjbio.com
Home >> Antibodies >> BCAM Antibody / CD239

BCAM Antibody / CD239 (RQ5959)

  Catalog No Formulation Size Price (USD)  
Image RQ5959 0.5mg/ml if reconstituted with 0.2ml sterile DI water 100 ug 439
Bulk quote request
Immunofluorescent staining of FFPE human HeLa cells with BCAM antibody (green) and DAPI nuclear stain (blue). HIER: steam section in pH6 citrate buffer for 20 min.
IHC staining of FFPE human thyroid cancer with BCAM antibody. HIER: boil tissue sections in pH8 EDTA for 20 min and allow to cool before testing.
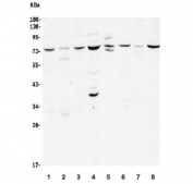
Western blot testing of human 1) HeLa, 2) SK-O-V3, 3) A549, 4) Raji, 5) rat kidney, 6) mouse heart, 7) mouse lung and 8) mouse RAW264.7 lysate with BCAM antibody. Expected molecular weight: 67-90 kDa depending on glycosylation level.
Flow cytometry testing of human U-2 OS cells with BCAM antibody at 1ug/million cells (blocked with goat sera); Red=cells alone, Green=isotype control, Blue= BCAM antibody.
Availability 1-3 business days
Species Reactivity Human, Mouse, Rat
Format Antigen affinity purified
Clonality Polyclonal (rabbit origin)
Isotype Rabbit IgG
Purity Affinity purified
Buffer Lyophilized from 1X PBS with 2% Trehalose and 0.025% sodium azide
UniProt P50895
Applications Western Blot : 0.5-1ug/ml
Immunohistochemistry : 1-2ug/ml
Immunofluorescence : 2-4ug/ml
Flow Cytometry : 1-3ug/million cells
Limitations This BCAM antibody is available for research use only.
Review this product on BioCompare and get a $20 Amazon gift card

Description

Basal cell adhesion molecule, also known as Lutheran antigen, is a plasma membraneglycoprotein that in humans is encoded by the BCAM gene. It is mapped to 19q13.32. This gene encodes Lutheran blood group glycoprotein, a member of the immunoglobulin superfamily and a receptor for the extracellular matrix protein, laminin. The protein contains five extracellular immunoglobulin domains, a single transmembrane domain, and a short C-terminal cytoplasmic tail. This protein may play a role in epithelial cell cancer and in vaso-occlusion of red blood cells in sickle cell disease. Polymorphisms in this gene define some of the antigens in the Lutheran system and also the Auberger system. Inactivating variants of this gene result in the recessive Lutheran null phenotype, Lu(a-b-), of the Lutheran blood group. Two transcript variants encoding different isoforms have been found for this gene.

Application Notes

Optimal dilution of the BCAM antibody should be determined by the researcher.

Immunogen

Amino acids LLSLTSTLYLRLRKDDRDASFHCAAHYSLPEGRH from the human protein were used as the immunogen for the BCAM antibody.

Storage

After reconstitution, the BCAM antibody can be stored for up to one month at 4oC. For long-term, aliquot and store at -20oC. Avoid repeated freezing and thawing.

Cross
Bulk Quote Request Form
Name*:
Organization*:
Email*:
Phone Number*:
Catalog No.*:
Comments and Specifics(amount, formulation, etc.)*:
Validation code: Captchapackage Image


Can't read the image? click here to refresh.
    *required field

Your bulk quote request has been submitted successfully!

Please contact us if you have any questions.