• Tel: 858.663.9055
  • SeparatorEmail: info@nsjbio.com
  • Tel: 858.663.9055
  • Email: info@nsjbio.com
Home >> Antibodies >> BBS9 Antibody / PTHB1

BBS9 Antibody / PTHB1 (RQ7148)

  Catalog No Formulation Size Price (USD)  
Image RQ7148 0.5mg/ml if reconstituted with 0.2ml sterile DI water 100 ug 439
Bulk quote request
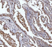
IHC staining of FFPE human prostate cancer tissue with BBS9 antibody. HIER: boil tissue sections in pH8 EDTA for 20 min and allow to cool before testing.
IHC staining of FFPE human lung cancer tissue with BBS9 antibody. HIER: boil tissue sections in pH8 EDTA for 20 min and allow to cool before testing.
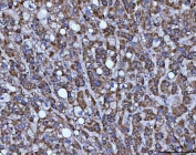
IHC staining of FFPE human liver cancer tissue with BBS9 antibody. HIER: boil tissue sections in pH8 EDTA for 20 min and allow to cool before testing.
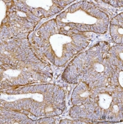
IHC staining of FFPE human rectal cancer tissue with BBS9 antibody. HIER: boil tissue sections in pH8 EDTA for 20 min and allow to cool before testing.
IHC staining of FFPE mouse brain tissue with BBS9 antibody. HIER: boil tissue sections in pH8 EDTA for 20 min and allow to cool before testing.
IHC staining of FFPE rat brain tissue with BBS9 antibody. HIER: boil tissue sections in pH8 EDTA for 20 min and allow to cool before testing.
Western blot testing of 1) human U-87 MG, 2) human SiHa, 3) human HeLa, 4) human SH-SY5Y, 5) monkey COS-7 and 6) human 293T cell lysate with BBS9 antibody. Expected molecular weight: 94-99 kDa (multiple isoforms).
Flow cytometry testing of human RT4 cells with BBS9 antibody at 1ug/million cells (blocked with goat sera); Red=cells alone, Green=isotype control, Blue= BBS9 antibody.
Availability 1-3 business days
Species Reactivity Human, Mouse, Rat, Monkey
Format Antigen affinity purified
Clonality Polyclonal (rabbit origin)
Isotype Rabbit IgG
Purity Antigen affinity purified
Buffer Lyophilized from 1X PBS with 2% Trehalose
UniProt Q3SYG4
Localization Cytoplasmic
Applications Western Blot : 0.5-1ug/ml
Immunohistochemistry (FFPE) : 2-5ug/ml
Flow Cytometry : 1-3ug/million cells
Direct ELISA : 0.1-0.5ug/ml
Limitations This BBS9 antibody is available for research use only.
Review this product on BioCompare and get a $20 Amazon gift card

Description

Bardet-Biedl syndrome 9 is a protein that in humans is encoded by the BBS9 gene. This gene is downregulated by parathyroid hormone in osteoblastic cells, and therefore is thought to be involved in parathyroid hormone action in bones. The exact function of this gene has not yet been determined. Alternatively spliced transcript variants encoding different isoforms have been identified.

Application Notes

Optimal dilution of the BBS9 antibody should be determined by the researcher.

Immunogen

Recombinant human protein (amino acids Q37-L793) was used as the immunogen for the BBS9 antibody.

Storage

After reconstitution, the BBS9 antibody can be stored for up to one month at 4oC. For long-term, aliquot and store at -20oC. Avoid repeated freezing and thawing.

Cross
Bulk Quote Request Form
Name*:
Organization*:
Email*:
Phone Number*:
Catalog No.*:
Comments and Specifics(amount, formulation, etc.)*:
Validation code: Captchapackage Image


Can't read the image? click here to refresh.
    *required field

Your bulk quote request has been submitted successfully!

Please contact us if you have any questions.