• Tel: 858.663.9055
  • SeparatorEmail: info@nsjbio.com
  • Tel: 858.663.9055
  • Email: info@nsjbio.com
Home >> Antibodies >> BATF2 Antibody

BATF2 Antibody [clone PCRP-BATF2-2B9] (V4174)

  Catalog No Formulation Size Price (USD)  
Image V4174-100UG 0.2 mg/ml in 1X PBS with 0.1 mg/ml BSA (US sourced), 0.05% sodium azide 100 ug 539
Image
V4174-20UG 0.2 mg/ml in 1X PBS with 0.1 mg/ml BSA (US sourced), 0.05% sodium azide 20 ug 249
Image
V4174SAF-100UG 1 mg/ml in 1X PBS; BSA free, sodium azide free 100 ug 539
Microvalidated
Bulk quote request
Flow cytometry testing of PFA-fixed human HeLa cells with BATF2 antibody (clone PCRP-BATF2-2B9) followed by goat anti-mouse IgG-CF488 (blue); isotype control (red).
SDS-PAGE analysis of purified, BSA-free BATF2 antibody (clone PCRP-BATF2-2B9) as confirmation of integrity and purity.
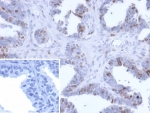
IHC staining of FFPE human prostate carcinoma tissue with BATF2 antibody (clone PCRP-BATF2-2B9). Inset: PBS used in place of primary Ab (secondary Ab negative control). HIER: boil tissue sections in pH 9 10mM Tris with 1mM EDTA for 20 min and allow to cool before testing.
Analysis of a HuProt(TM) microarray containing more than 19,000 full-length human proteins using BATF2 antibody (clone PCRP-BATF2-2B9). Z- and S- Score: The Z-score represents the strength of a signal that a monoclonal antibody (in combination with a fluorescently-tagged anti-IgG secondary antibody) produces when binding to a particular protein on the HuProt(TM) array. Z-scores are described in units of standard deviations (SD's) above the mean value of all signals generated on that array. If targets on HuProt(TM) are arranged in descending order of the Z-score, the S-score is the difference (also in units of SD's) between the Z-score. S-score therefore represents the relative target specificity of a mAb to its intended target. A mAb is considered to specific to its intended target, if the mAb has an S-score of at least 2.5. For example, if a mAb binds to protein X with a Z-score of 43 and to protein Y with a Z-score of 14, then the S-score for the binding of that mAb to protein X is equal to 29.
Availability 1-3 business days
Species Reactivity Human
Format Purified
Clonality Monoclonal (mouse origin)
Isotype Mouse IgG2b, kappa
Clone Name PCRP-BATF2-2B9
Purity Protein A/G affinity
UniProt Q8N1L9
Localization Nucleus
Applications ELISA (Order BSA-free Format For Coating) :
Flow Cytometry : 1-2ug/million cells
Immunohistochemistry (FFPE) : 1-2ug/ml for 30 minutes at RT
Limitations This BATF2 antibody is available for research use only.
Review this product on BioCompare and get a $20 Amazon gift card

Related Products

  • Applications : WB, IHC-P, Direct ELISA
    Reactivity : Mouse, Rat

Description

Predicted to enable DNA-binding transcription factor activity, RNA polymerase II-specific and RNA polymerase II cis-regulatory region sequence-specific DNA binding activity. Predicted to be involved in defense response to protozoan; myeloid dendritic cell differentiation; and regulation of transcription by RNA polymerase II. Predicted to be part of chromatin. Predicted to be active in nucleus. This antibody recognizes a transcription factor involved in differentiation of CD8+ thymic dendritic cells. BATF2 has been implicated in breast cancer, malignant glioma and metastatis melanoma progression.

Application Notes

Optimal dilution of the BATF2 antibody should be determined by the researcher.

Immunogen

A recombinant partial protein (within amino acids 5-140) from the human protein was used as the immunogen for the BATF2 antibody.

Storage

Aliquot the BATF2 antibody and store frozen at -20oC or colder. Avoid repeated freeze-thaw cycles.

Cross
Bulk Quote Request Form
Name*:
Organization*:
Email*:
Phone Number*:
Catalog No.*:
Comments and Specifics(amount, formulation, etc.)*:
Validation code: Captchapackage Image


Can't read the image? click here to refresh.
    *required field

Your bulk quote request has been submitted successfully!

Please contact us if you have any questions.