• Tel: 858.663.9055
  • SeparatorEmail: info@nsjbio.com
  • Tel: 858.663.9055
  • Email: info@nsjbio.com
Home >> Antibodies >> BAT3 Antibody / BAG6

BAT3 Antibody / BAG6 (R35001)

  Catalog No Formulation Size Price (USD)  
Image R35001-100UG 0.5 mg/ml in 1X TBS, pH7.3, with 0.5% BSA (US sourced) and 0.02% sodium azide 100 ug 449
Bulk quote request
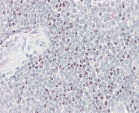
IHC testing of FFPE human spleen (nucleoli staining) with BAT3 antibody at 4ug/ml. HIER: steamed with pH6 citrate buffer, AP-staining.
Availability 1-3 business days
Species Reactivity Human
Predicted Reactivity Cow, Dog, Mouse, Pig, Rat
Format Antigen affinity purified
Clonality Polyclonal (goat origin)
Isotype Goat Ig
Purity Antigen affinity
Gene ID 7917
Applications Immunohistochemistry (FFPE) : 3-5ug/ml
ELISA (peptide) LOD : 1:128000
Limitations This BAT3 antibody is available for research use only.
Review this product on BioCompare and get a $20 Amazon gift card

Related Products

  • Applications : WB, IHC-P, IF, FACS, Direct ELISA
    Reactivity : Human, Mouse, Rat

Description

Additional name(s) for this target protein: HLA-B associated transcript 3, BAG6, BAG-6; BAT3

Application Notes

Optimal dilution of the BAT3 antibody should be determined by the researcher.

Immunogen

Amino acids PETNAPNHPSPAEY were used as the immunogen for this BAT3 antibody.

Storage

Aliquot and store the BAT3 antibody at -20oC.

Cross
Bulk Quote Request Form
Name*:
Organization*:
Email*:
Phone Number*:
Catalog No.*:
Comments and Specifics(amount, formulation, etc.)*:
Validation code: Captchapackage Image


Can't read the image? click here to refresh.
    *required field

Your bulk quote request has been submitted successfully!

Please contact us if you have any questions.