• Tel: 858.663.9055
  • SeparatorEmail: info@nsjbio.com
  • Tel: 858.663.9055
  • Email: info@nsjbio.com
Home >> Antibodies >> Basic Cytokeratin Antibody

Basic Cytokeratin Antibody [clone AE3] (V2329)

  Catalog No Formulation Size Price (USD)  
Image V2329-100UG 0.2 mg/ml in 1X PBS with 0.1 mg/ml BSA (US sourced) and 0.05% sodium azide 100 ug 539
Image
V2329-20UG 0.2 mg/ml in 1X PBS with 0.1 mg/ml BSA (US sourced) and 0.05% sodium azide 20 ug 249
Image
V2329SAF-100UG 1 mg/ml in 1X PBS; BSA free, sodium azide free 100 ug 539
Image
V2329IHC-7ML Prediluted in 1X PBS with 0.1 mg/ml BSA (US sourced) and 0.05% sodium azide; *For IHC use only* 7 ml 539
Bulk quote request
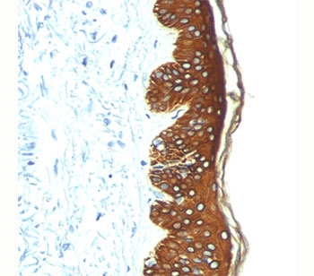
IHC: FFPE skin stained with Basic Cytokeratin antibody AE3.
SDS-PAGE Analysis of Purified, BSA-Free Basic Cytokeratin Antibody (clone AE3). Confirmation of Integrity and Purity of the Antibody.
Species Reactivity Human, Mouse, Rat
Format Purified
Clonality Monoclonal (mouse origin)
Isotype Mouse IgG1, kappa
Clone Name AE3
Purity Protein G purified
Buffer 1X PBS, pH 7.4
Gene ID 3848
Localization Cytoplasmic
Applications Flow Cytometry : 0.5-1ug/million cells
Immunofluorescence : 1-2ug/ml
Western Blot : 0.5-1ug/ml
Immunohistochemistry (FFPE) : 0.5-1ug/ml for 30 min at RT (1)
Prediluted IHC Only Format : incubate for 30 min at RT (2)
Limitations This Basic Cytokeratin antibody AE3 is available for research use only. The formulation is not suitable for therapeutic or diagnostic testing.
Review this product on BioCompare and get a $20 Amazon gift card

Related Products

Description

Basic Cytokeratin antibody clone AE3 is a monoclonal antibody specific for high molecular weight cytokeratins belonging to the basic type II family, including CK1, CK2, CK3, CK4, CK5, CK6, and CK7. These cytokeratins are expressed in stratified and glandular epithelia, where they support tissue architecture and regulate epithelial differentiation. Because of their distinct expression profiles, basic cytokeratins are essential markers in diagnostic pathology and epithelial research. NSJ Bioreagents supplies Basic Cytokeratin antibody clone AE3 for studies of epithelial development, disease, and tumor biology.

Basic Cytokeratin antibody clone AE3 produces strong cytoplasmic staining in stratified and glandular epithelia, making it a valuable diagnostic reagent. In pathology, clone AE3 is commonly used to identify squamous and glandular epithelial cells in tissue sections, helping pathologists confirm epithelial lineage in tumor samples.

In oncology, Basic Cytokeratin antibody clone AE3 has been widely used to characterize carcinomas, including squamous cell carcinoma, lung cancer, and head and neck tumors. Its broad recognition of basic keratins ensures that epithelial tumors can be reliably identified, and expression patterns can be correlated with tumor type and differentiation state.

Beyond cancer, Basic Cytokeratin antibody clone AE3 supports research into epithelial physiology and tissue regeneration. Basic keratins contribute to the resilience of epithelia against mechanical stress, and changes in their expression are linked to injury, wound repair, and chronic inflammatory conditions. Clone AE3 provides a means to study these shifts in epithelial biology.

In developmental biology, Basic Cytokeratin antibody clone AE3 has been used to trace epithelial differentiation during embryogenesis, where keratin networks form the structural basis of tissue organization. Its detection of multiple type II keratins allows researchers to track broad epithelial patterns across developmental stages.

This antibody has been validated in both tissue and cell-based systems, producing reproducible cytoplasmic staining. It has a strong record of use in cancer research, epithelial biology, and diagnostic pathology. Alternate names include type II cytokeratin antibody, high molecular weight keratin antibody, and keratin AE3 antibody.

Application Notes

Differences in protocols and secondaries may cause the Basic Cytokeratin antibody to need titering for optimal performance.

1. FFPE staining requires boiling tissue sections in 10mM citrate buffer, pH 6.0, for 10-20 min followed by cooling at RT for 20 minutes.
2. The prediluted format is supplied in a dropper bottle and is optimized for use in IHC. After epitope retrieval step (if required), drip mAb solution onto the tissue section and incubate at RT for 30 min.

Immunogen

Solubilized cytokeratin extract from human stratum corneum was used as the immunogen.

Storage

Store the Basic Cytokeratin antibody at 2-8oC (with azide) or aliquot and store at -20oC or colder (without azide).

Cross
Bulk Quote Request Form
Name*:
Organization*:
Email*:
Phone Number*:
Catalog No.*:
Comments and Specifics(amount, formulation, etc.)*:
Validation code: Captchapackage Image


Can't read the image? click here to refresh.
    *required field

Your bulk quote request has been submitted successfully!

Please contact us if you have any questions.