• Tel: 858.663.9055
  • SeparatorEmail: info@nsjbio.com
  • Tel: 858.663.9055
  • Email: info@nsjbio.com
Home >> Antibodies >> BARX1 Antibody

BARX1 Antibody [clone BARX1/2760] (V8034)

  Catalog No Formulation Size Price (USD)  
Image V8034-100UG 0.2 mg/ml in 1X PBS with 0.1 mg/ml BSA (US sourced) and 0.05% sodium azide 100 ug 539
Image
V8034-20UG 0.2 mg/ml in 1X PBS with 0.1 mg/ml BSA (US sourced) and 0.05% sodium azide 20 ug 249
Image
V8034SAF-100UG 1 mg/ml in 1X PBS; BSA free, sodium azide free 100 ug 539
Bulk quote request
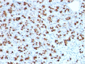
IHC staining of FFPE human pancreas with BARX1 antibody (clone BARX1/2760). HIER: boil tissue sections in pH 9 10mM Tris with 1mM EDTA for 20 min and allow to cool before testing.
SDS-PAGE analysis of purified, BSA-free BARX1 antibody (clone BARX1/2760) as confirmation of integrity and purity.
Availability 1-3 business days
Species Reactivity Human
Format Purified
Clonality Monoclonal (mouse origin)
Isotype Mouse IgG, kappa
Clone Name BARX1/2760
Purity Protein G affinity chromatography
UniProt Q9HU1
Localization Nuclear
Applications Immunohistochemistry (FFPE) : 1-2ug/ml
Limitations This BARX1 antibody is available for research use only.
Review this product on BioCompare and get a $20 Amazon gift card

Related Products

Description

BarX1 is a member of the Bar subclass of homeobox transcription factors. Studies of the Mouse and chick homolog suggest the encoded protein may play a role in developing teeth and craniofacial mesenchyme of neural crest origin. The protein may also be associated with differentiation of stomach epithelia. Down-regulation of Barx1 promotes HCC migration, invasion and metastasis, whereas up-regulation of Barx1 inhibits HCC migration, invasion and metastasis. The loss of Barx1 expression represents a prognostic biomarker in human HCC.

Application Notes

Optimal dilution of the BARX1 antibody should be determined by the researcher.

Immunogen

A recombinant full-length human protein was used as the immunogen for the BARX1 antibody.

Storage

Store the BARX1 antibody at 2-8oC (with azide) or aliquot and store at -20oC or colder (without azide).

Cross
Bulk Quote Request Form
Name*:
Organization*:
Email*:
Phone Number*:
Catalog No.*:
Comments and Specifics(amount, formulation, etc.)*:
Validation code: Captchapackage Image


Can't read the image? click here to refresh.
    *required field

Your bulk quote request has been submitted successfully!

Please contact us if you have any questions.