- Tel: 858.663.9055
- 
									 Email: info@nsjbio.com Email: info@nsjbio.com
- Tel: 858.663.9055
- Email: info@nsjbio.com
 Email: info@nsjbio.com
Email: info@nsjbio.com
								Related Products
| 
 | 
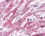
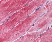
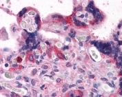
Additional name(s) for this target protein: BCL2-associated athanogene 3
Optimal dilution of the BAG3 antibody should be determined by the researcher.
Amino acids SSMTDTPGNPAAP were used as the immunogen for this BAG3 antibody.
Aliquot and store the BAG3 antibody at -20oC.
 
Your bulk quote request has been submitted successfully!
Please contact us if you have any questions.