• Tel: 858.663.9055
  • SeparatorEmail: info@nsjbio.com
  • Tel: 858.663.9055
  • Email: info@nsjbio.com
Home >> Antibodies >> BAFF Receptor Antibody / TNFRSF13C / CD268

BAFF Receptor Antibody / TNFRSF13C / CD268 [clone BAFFR/1557] (V7683)

  Catalog No Formulation Size Price (USD)  
Image V7683-100UG 0.2 mg/ml in 1X PBS with 0.1 mg/ml BSA (US sourced) and 0.05% sodium azide 100 ug 539
Image
V7683-20UG 0.2 mg/ml in 1X PBS with 0.1 mg/ml BSA (US sourced) and 0.05% sodium azide 20 ug 249
Image
V7683SAF-100UG 1 mg/ml in 1X PBS; BSA free, sodium azide free 100 ug 539
Bulk quote request
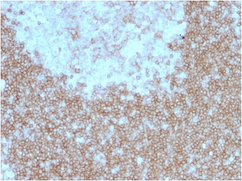
IHC staining of FFPE human tonsil with BAFF Receptor antibody (clone BAFFR/1557). HIER: boil tissue sections in pH 9 10mM Tris with 1mM EDTA for 10-20 min and allow to cool before testing.
SDS-PAGE analysis of purified, BSA-free BAFF Receptor antibody (clone BAFFR/1557) as confirmation of integrity and purity.
Availability 1-3 business days
Species Reactivity Human
Format Purified
Clonality Monoclonal (mouse origin)
Isotype Mouse IgG1, kappa
Clone Name BAFFR/1557
Purity Protein G affinity chromatography
UniProt Q96RJ3
Localization Cell surface
Applications Immunohistochemistry (FFPE) : 1-2ug/ml
Limitations This BAFF Receptor antibody is available for research use only.
Review this product on BioCompare and get a $20 Amazon gift card

Related Products

Description

Defects in TNFRSF13C/BAFF-R are the cause of immunodeficiency common variable type 4 (CVID4); also called antibody deficiency due to BAFFR defect. CVID4 is a primary immunodeficiency characterized by antibody deficiency, hypogammaglobulinemia, recurrent bacterial infections and an inability to mount an antibody response to antigen. The defect results from a failure of B-cell differentiation and impaired secretion of immunoglobulins; the numbers of circulating B cells is usually in the normal range, but can be low.

Application Notes

Optimal dilution of the BAFF Receptor antibody should be determined by the researcher.

Immunogen

A recombinant full-length human protein was used as the immunogen for the BAFF Receptor antibody.

Storage

Store the BAFF Receptor antibody at 2-8oC (with azide) or aliquot and store at -20oC or colder (without azide).

Cross
Bulk Quote Request Form
Name*:
Organization*:
Email*:
Phone Number*:
Catalog No.*:
Comments and Specifics(amount, formulation, etc.)*:
Validation code: Captchapackage Image


Can't read the image? click here to refresh.
    *required field

Your bulk quote request has been submitted successfully!

Please contact us if you have any questions.