• Tel: 858.663.9055
  • SeparatorEmail: info@nsjbio.com
  • Tel: 858.663.9055
  • Email: info@nsjbio.com
Home >> Antibodies >> BAFF Antibody

BAFF Antibody (F43421)

  Catalog No Formulation Size Price (USD)  
Image F43421-0.4ML In 1X PBS, pH 7.4, with 0.09% sodium azide 0.4 ml 429
Image
F43421-0.08ML In 1X PBS, pH 7.4, with 0.09% sodium azide 0.08 ml 199
Bulk quote request
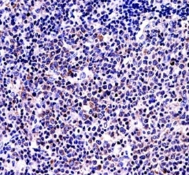
BAFF antibody immunohsitochemistry analysis in formalin fixed and paraffin embedded human tonsil tissue.
BAFF antibody western blot analysis in MDA-MB231 lysate. Expected molecular weight ~31kDa.
Availability 1-3 business days
Species Reactivity Human
Format Antigen affinity purified
Clonality Polyclonal (rabbit origin)
Isotype Rabbit Ig
Purity Antigen affinity
UniProt Q9Y275
Applications Western Blot : 1:1000
IHC (Paraffin) : 1:10-1:50
Limitations This BAFF antibody is available for research use only.
Review this product on BioCompare and get a $20 Amazon gift card

Related Products

Description

The protein encoded by this gene is a cytokine that belongs to the tumor necrosis factor (TNF) ligand family. This cytokine is a ligand for receptors TNFRSF13B/TACI, TNFRSF17/BCMA, and TNFRSF13C/BAFFR. This cytokine is expressed in B cell lineage cells, and acts as a potent B cell activator. It has been also shown to play an important role in the proliferation and differentiation of B cells.

Application Notes

Titration of the BAFF antibody may be required due to differences in protocols and secondary/substrate sensitivity.

Immunogen

A portion of amino acids 16-44 from the human protein was used as the immunogen for this BAFF antibody.

Storage

Aliquot the BAFF antibody and store frozen at -20oC or colder. Avoid repeated freeze-thaw cycles.

Cross
Bulk Quote Request Form
Name*:
Organization*:
Email*:
Phone Number*:
Catalog No.*:
Comments and Specifics(amount, formulation, etc.)*:
Validation code: Captchapackage Image


Can't read the image? click here to refresh.
    *required field

Your bulk quote request has been submitted successfully!

Please contact us if you have any questions.