• Tel: 858.663.9055
  • SeparatorEmail: info@nsjbio.com
  • Tel: 858.663.9055
  • Email: info@nsjbio.com
Home >> Antibodies >> Bad Antibody

Bad Antibody (F42760)

  Catalog No Formulation Size Price (USD)  
Image F42760-0.4ML In 1X PBS, pH 7.4, with 0.09% sodium azide 0.4 ml 429
Image
F42760-0.08ML In 1X PBS, pH 7.4, with 0.09% sodium azide 0.08 ml 199
Bulk quote request
Western blot analysis of Bad antibody and HL-60 lysate. Predicted molecular weight: 19-23 kDa.
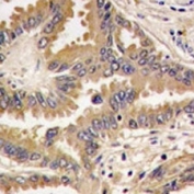
IHC analysis of FFPE human lung carcinoma tissue stained with Bad antibody.
Availability 1-3 business days
Species Reactivity Human
Format Antigen affinity purified
Clonality Polyclonal (rabbit origin)
Purity Antigen affinity
UniProt Q92934
Applications Western Blot : 1:1000
IHC (Paraffin) : 1:10-1:50
Limitations This Bad antibody is available for research use only.
Review this product on BioCompare and get a $20 Amazon gift card

Related Products

  • Applications : WB, IHC, FACS, ELISA
    Reactivity : Human, Mouse
  • Applications : DB, ELISA
    Reactivity : Human
  • Applications : DB, ELISA
    Reactivity : Mouse
    Pred. Reactivity : Rat
  • Applications : DB, ELISA
    Reactivity : Human
  • Applications : DB, ELISA
    Reactivity : Mouse
  • Applications : DB, ELISA
    Reactivity : Rat
  • Applications : IF, DB, IHC, ELISA
    Reactivity : Human
    Pred. Reactivity : Mouse, Rat
  • Applications : DB, ELISA
    Reactivity : Human
    Pred. Reactivity : Mouse, Rat
  • Applications : DB, ELISA
    Reactivity : Human
  • Applications : DB, ELISA
    Reactivity : Human
    Pred. Reactivity : Mouse, Rat
  • Applications : WB
    Reactivity : Human, Mouse

Description

Bad is a member of the BCL-2 family. BCL-2 family members are known to be regulators of programmed cell death. This protein positively regulates cell apoptosis by forming heterodimers with BCL-xL and BCL-2, and reversing their death repressor activity. Proapoptotic activity of this protein is regulated through its phosphorylation. Protein kinases AKT and MAP kinase, as well as protein phosphatase calcineurin were found to be involved in the regulation of this protein.

Application Notes

Titration of the Bad antibody may be required due to differences in protocols and secondary/substrate sensitivity.

Immunogen

A portion of amino acids 53-81 from the human protein was used as the immunogen for this Bad antibody.

Storage

Aliquot the Bad antibody and store frozen at -20oC or colder. Avoid repeated freeze-thaw cycles.

Cross
Bulk Quote Request Form
Name*:
Organization*:
Email*:
Phone Number*:
Catalog No.*:
Comments and Specifics(amount, formulation, etc.)*:
Validation code: Captchapackage Image


Can't read the image? click here to refresh.
    *required field

Your bulk quote request has been submitted successfully!

Please contact us if you have any questions.