• Tel: 858.663.9055
  • SeparatorEmail: info@nsjbio.com
  • Tel: 858.663.9055
  • Email: info@nsjbio.com
Home >> Antibodies >> BAALC Antibody

BAALC Antibody (R34596)

  Catalog No Formulation Size Price (USD)  
Image R34596-100UG 0.5 mg/ml in 1X TBS, pH7.3, with 0.5% BSA (US sourced) and 0.02% sodium azide 100 ug 449
Bulk quote request
Western blot testing of mouse brain lysate with BAALC antibody at 0.03ug/ml. Predicted molecular weight: ~16kDa.
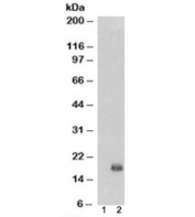
Western blot of HEK293 lysate overexpressing BAALC and probed with BAALC antibody (mock transfection in lane 1). Predicted molecular weight: ~16kDa.
Availability 1-3 business days
Species Reactivity Human, Mouse
Predicted Reactivity Pig, Rat
Format Antigen affinity purified
Clonality Polyclonal (goat origin)
Isotype Goat Ig
Purity Antigen affinity
Gene ID 79870
Applications Western Blot : 0.03-0.1ug/ml
ELISA (peptide) LOD : 1:64000
Limitations This BAALC antibody is available for research use only.
Review this product on BioCompare and get a $20 Amazon gift card

Description

Additional name(s) for this target protein: Brain and acute leukemia, cytoplasmic

Application Notes

Optimal dilution of the BAALC antibody should be determined by the researcher.

1. This BAALC antibody is specific for isoform 1.

Immunogen

Amino acids KQNGLQTTEAKRDAK were used as the immunogen for this BAALC antibody.

Storage

Aliquot and store the BAALC antibody at -20oC.

Cross
Bulk Quote Request Form
Name*:
Organization*:
Email*:
Phone Number*:
Catalog No.*:
Comments and Specifics(amount, formulation, etc.)*:
Validation code: Captchapackage Image


Can't read the image? click here to refresh.
    *required field

Your bulk quote request has been submitted successfully!

Please contact us if you have any questions.