• Tel: 858.663.9055
  • SeparatorEmail: info@nsjbio.com
  • Tel: 858.663.9055
  • Email: info@nsjbio.com
Home >> Antibodies >> B7H4 Antibody / VTCN1

B7H4 Antibody / VTCN1 (RQ5561)

  Catalog No Formulation Size Price (USD)  
Image RQ5561 0.5mg/ml if reconstituted with 0.2ml sterile DI water 100 ug 439
Bulk quote request
Flow cytometry testing of human U-2 OS cells with B7H4 antibody at 1ug/million cells (blocked with goat sera); Red=cells alone, Green=isotype control, Blue= B7H4 antibody.
Immunofluorescent staining of FFPPE human U-2 OS cells with B7H4 antibody (green) and DAPI nuclear stain (blue). HIER: boil tissue sections in pH6, 10mM citrate buffer, for 20 min and allow to cool before testing.
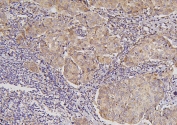
IHC staining of FFPE human breast cancer with B7H4 antibody. HIER: boil tissue sections in pH6, 10mM citrate buffer, for 20 min and allow to cool before testing.
Western blot testing of 1) human U-2 OS and 2) mouse thymus lysate with B7H4 antibody. Predicted molecular weight: ~31 kDa.
Availability 1-3 business days
Species Reactivity Human, Mouse, Rat
Format Antigen affinity purified
Clonality Polyclonal (rabbit origin)
Isotype Rabbit IgG
Purity Affinity purified
Buffer Lyophilized from 1X PBS with 2% Trehalose and 0.025% sodium azide
UniProt Q7Z7D3
Applications Western Blot : 0.25-0.5ug/ml
Immunohistochemistry (FFPE) : 0.5-1ug/ml
Immunofluorescence : 2-4ug/ml
Flow Cytometry : 1-3ug/million cells
Direct ELISA : 0.1-0.5ug/ml
Limitations This B7H4 antibody is available for research use only.
Review this product on BioCompare and get a $20 Amazon gift card

Related Products

  • Applications : ELISA, FACS, IF, IHC-P
    Reactivity : Human
    Recrabbitmono
  • Applications : ELISA, FACS, IF, WB, IHC-P
    Reactivity : Human
  • Applications : WB, ELISA (peptide)
    Reactivity : Human
    Pred. Reactivity : Cow, Dog, Mouse, Rat
  • Applications : WB, ELISA (peptide)
    Reactivity : Human
    Pred. Reactivity : Dog, Mouse, Rat

Description

V-set domain-containing T-cell activation inhibitor 1 is a protein that in humans is encoded by the VTCN1 gene. It is mapped to 1p13.1-p12. This gene encodes a protein belonging to the B7 costimulatory protein family. Proteins in this family are present on the surface of antigen-presenting cells and interact with ligand bound to receptors on the surface of T cells. Studies have shown that high levels of the encoded protein has been correlated with tumor progression. A pseudogene of this gene is located on chromosome 20. Multiple transcript variants encoding different isoforms have been found for this gene.

Application Notes

Optimal dilution of the B7H4 antibody should be determined by the researcher.

Immunogen

A human recombinant protein (amino acids T57-A258) was used as the immunogen for the B7H4 antibody.

Storage

After reconstitution, the B7H4 antibody can be stored for up to one month at 4oC. For long-term, aliquot and store at -20oC. Avoid repeated freezing and thawing.

Cross
Bulk Quote Request Form
Name*:
Organization*:
Email*:
Phone Number*:
Catalog No.*:
Comments and Specifics(amount, formulation, etc.)*:
Validation code: Captchapackage Image


Can't read the image? click here to refresh.
    *required field

Your bulk quote request has been submitted successfully!

Please contact us if you have any questions.