- Tel: 858.663.9055
- 
									 Email: info@nsjbio.com Email: info@nsjbio.com
- Tel: 858.663.9055
- Email: info@nsjbio.com
 Email: info@nsjbio.com
Email: info@nsjbio.com
								Related Products
| 
 | 
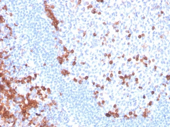
B7-H6 (NCR3LG1) is a transmembrane endogenous ligand expressed on the surfaces of tumor cells. B7-H6 binds with NKp30 present on NK cells. Binding of B7-H6 to NKp30 causes the ligation of NKp30 subsequently inducing NK cell activation and target cell cytolysis. B7-H6 is not constitutively expressed on normal tissue. Whether it can be expressed endogenously under certain conditions is under investigation. B7-H6 has been detected on circulating pro-inflammatory CD14(+)CD16(+) monocytes in some patients with sepsis.
Optimal dilution of the B7-H6 antibody should be determined by the researcher.
A portion of amino acids 38-169 from the human protein was used as the immunogen for the B7-H6 antibody.
Store the B7-H6 antibody at 2-8oC (with azide) or aliquot and store at -20oC or colder (without azide).
 
Your bulk quote request has been submitted successfully!
Please contact us if you have any questions.