• Tel: 858.663.9055
  • SeparatorEmail: info@nsjbio.com
  • Tel: 858.663.9055
  • Email: info@nsjbio.com
Home >> Antibodies >> B7-H3 Antibody / CD276

B7-H3 Antibody / CD276 [clone B7H3/4348] (V4055)

  Catalog No Formulation Size Price (USD)  
Image V4055-100UG 0.2 mg/ml in 1X PBS with 0.1 mg/ml BSA (US sourced), 0.05% sodium azide 100 ug 539
Image
V4055-20UG 0.2 mg/ml in 1X PBS with 0.1 mg/ml BSA (US sourced), 0.05% sodium azide 20 ug 249
Image
V4055SAF-100UG 1 mg/ml in 1X PBS; BSA free, sodium azide free 100 ug 539
Microvalidated
Bulk quote request
Analysis of HuProt(TM) microarray containing more than 19,000 full-length human proteins using B7-H3 antibody (clone B7H3/4348). These results demonstrate the foremost specificity of the B7H3/4348 mAb. Z- and S- score: The Z-score represents the strength of a signal that an antibody (in combination with a fluorescently-tagged anti-IgG secondary Ab) produces when binding to a particular protein on the HuProt(TM) array. Z-scores are described in units of standard deviations (SD's) above the mean value of all signals generated on that array. If the targets on the HuProt(TM) are arranged in descending order of the Z-score, the S-score is the difference (also in units of SD's) between the Z-scores. The S-score therefore represents the relative target specificity of an Ab to its intended target.
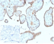
IHC staining of FFPE human placental tissue with B7-H3 antibody (clone B7H3/4348) at 2ug/ml. Negative control inset: PBS used instead of primary antibody to control for secondary Ab binding. HIER: boil tissue sections in pH 9 10mM Tris with 1mM EDTA for 20 min and allow to cool before testing.
Availability 1-3 business days
Species Reactivity Human
Format Purified
Clonality Monoclonal (mouse origin)
Isotype Mouse IgG2b, kappa
Clone Name B7H3/4348
Purity Protein A/G affinity
UniProt Q5ZPR3
Localization Cell surface, cytoplasm
Applications Immunohistochemistry (FFPE) : 1-2ug/ml
Limitations This B7-H3 antibody is available for research use only.
Review this product on BioCompare and get a $20 Amazon gift card

Related Products

Description

T cell activation and immune function are regulated by the innate immune system through positive and negative costimulatory molecules. One such molecule, B7-H3 (B7-homolog 3, also designated B7RP-2 and CD276) belongs to the B7 immunoglobulin superfamily. Soluble B7-H3 binds a putative receptor on activated T-cells that is distinct from CD28, CTLA-4, ICOS and PD-1. Widely expressed on nonlymphoid tissues, B7-H3 costimulates proliferation of both CD4+ and CD8+ T cells. The ability of B7-H3 to stimulate Th1 and cytotoxic-T cell responses suggest that it may have antitumor activity. B7-H3 interactions may play a role in regulating cell-mediated immune responses against cancer, implicating B7-H3 as a potential therapeutic tool.

Application Notes

Optimal dilution of the B7-H3 antibody should be determined by the researcher.

Immunogen

A portion of amino acids 100-300 from the human CD276 protein was used as the immunogen for the B7-H3 antibody.

Storage

Aliquot the B7-H3 antibody and store frozen at -20oC or colder. Avoid repeated freeze-thaw cycles.

Cross
Bulk Quote Request Form
Name*:
Organization*:
Email*:
Phone Number*:
Catalog No.*:
Comments and Specifics(amount, formulation, etc.)*:
Validation code: Captchapackage Image


Can't read the image? click here to refresh.
    *required field

Your bulk quote request has been submitted successfully!

Please contact us if you have any questions.