• Tel: 858.663.9055
  • SeparatorEmail: info@nsjbio.com
  • Tel: 858.663.9055
  • Email: info@nsjbio.com
Home >> Antibodies >> B7-H3 Antibody / CD276

B7-H3 Antibody / CD276 [clone B7H3/4313] (V4375)

  Catalog No Formulation Size Price (USD)  
Image V4375-100UG 0.2 mg/ml in 1X PBS with 0.1 mg/ml BSA (US sourced), 0.05% sodium azide 100 ug 539
Image
V4375-20UG 0.2 mg/ml in 1X PBS with 0.1 mg/ml BSA (US sourced), 0.05% sodium azide 20 ug 249
Image
V4375SAF-100UG 1 mg/ml in 1X PBS; BSA free, sodium azide free 100 ug 539
Bulk quote request
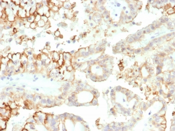
IHC staining of FFPE human kidney carcinoma tissue with B7-H3 antibody (clone B7H3/4313) at 2ug/ml. HIER: boil tissue sections in pH 9 10mM Tris with 1mM EDTA for 20 min and allow to cool before testing.
Availability 1-3 business days
Species Reactivity Human
Format Purified
Clonality Monoclonal (mouse origin)
Isotype Mouse IgG1, kappa
Clone Name B7H3/4313
Purity Protein A/G affinity
UniProt Q5ZPR3
Localization Cytoplasm, Cell surface
Applications Immunohistochemistry (FFPE) : 1-2ug/ml for 30 minutes at RT
Limitations This B7-H3 antibody is available for research use only.
Review this product on BioCompare and get a $20 Amazon gift card

Related Products

Description

T cell activation and immune function are regulated by the innate immune system through positive and negative costimulatory molecules. One such molecule, B7-H3 (B7-homolog 3, also designated B7RP-2) belongs to the B7 immunoglobulin superfamily. Soluble B7-H3 binds a putative receptor on activated T-cells that is distinct from CD28, CTLA-4, ICOS and PD-1. Widely expressed on nonlymphoid tissues, B7-H3 costimulates proliferation of both CD4+ and CD8+ T cells. The ability of B7-H3 to stimulate Th1 and cytotoxic-T cell responses suggest that it may have antitumor activity. B7-H3 interactions may play a role in regulating cell-mediated immune responses against cancer, implicating B7-H3 as a potential therapeutic tool.

Application Notes

Optimal dilution of the B7-H3 antibody should be determined by the researcher.

Immunogen

A recombinant partial protein sequence (within amino acids 100-300) from the human protein was used as the immunogen for the B7-H3 antibody.

Storage

Aliquot the B7-H3 antibody and store frozen at -20oC or colder. Avoid repeated freeze-thaw cycles.

Cross
Bulk Quote Request Form
Name*:
Organization*:
Email*:
Phone Number*:
Catalog No.*:
Comments and Specifics(amount, formulation, etc.)*:
Validation code: Captchapackage Image


Can't read the image? click here to refresh.
    *required field

Your bulk quote request has been submitted successfully!

Please contact us if you have any questions.