• Tel: 858.663.9055
  • SeparatorEmail: info@nsjbio.com
  • Tel: 858.663.9055
  • Email: info@nsjbio.com
Home >> Antibodies >> B3GNT8 Antibody

B3GNT8 Antibody (R32273)

  Catalog No Formulation Size Price (USD)  
Image R32273 0.5mg/ml if reconstituted with 0.2ml sterile DI water 100 ug 439
Bulk quote request
Western blot testing of human HeLa cell lysate with B3GNT8 antibody. Expected/observed molecular weight ~43 kDa.
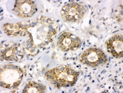
IHC testing of FFPE human breast cancer tissue with B3GNT8 antibody. HIER: Boil the paraffin sections in pH 6, 10mM citrate buffer for 20 minutes and allow to cool prior to staining.
Availability 1-3 business days
Species Reactivity Human
Format Antigen affinity purified
Clonality Polyclonal (rabbit origin)
Isotype Rabbit IgG
Purity Antigen affinity
Buffer Lyophilized from 1X PBS with 2.5% BSA and 0.025% sodium azide
UniProt Q7Z7M8
Localization Cytoplasmic
Applications Western Blot : 0.1-0.5ug/ml
IHC (FFPE) : 0.5-1ug/ml
Limitations This B3GNT8 antibody is available for research use only.
Review this product on BioCompare and get a $20 Amazon gift card

Description

B3GNT8 is a galactosyltransferase involved in the synthesis of poly-N-acetyllactosamine (polyLacNAc), a linear chain of repeating LacNAc units made up of galactose (Gal) and N-acetylglucosamine (GlcNAc) with the structure (Gal-beta-1-4-GlcNAc-beta-1-3)n. By genomic sequence analysis, the B3GNT8 gene is mapped to chromosome 19q13.2. It was showed that a soluble form of B3GNT8 overexpressed by transfected HEK293 cells selectively transferred GlcNAc from UDP-GlcNAc to the nonreducing terminus of Gal-beta-1-4-GlcNAc-alpha-p-nitrophenyl phosphate and to lactoside-alpha-benzoyl. It did not utilize keratan sulfates or polylactosamine oligosaccharide as substrate. B3GNT8 activity required Mn(2+) and showed less efficiency with Co(2+). The pH optimum was between 7 and 7.5. B3GNT8 also transferred GlcNAc onto alpha-1-acid glycoprotein and ovomucoid, which possess tetraantennary complex type and pentaantennary complex type N-glycans. With a tetraantennary N-glycan substrate, B3GNT8 appeared to prefer the beta-1-2 branch over the beta-1-6 branch. When overexpressed in HCT15 human colon cancer cells, B3GNT8 increased cell surface expression of both polyLacNAc and beta-1-6-branched N-glycans.

Application Notes

Optimal dilution of the B3GNT8 antibody should be determined by the researcher.

Immunogen

Amino acids ADRTADHCAFRNLLLVRPLGPQASIRLWKQLQDPRLQC of human B3GNT8 were used as the immunogen for the B3GNT8 antibody.

Storage

After reconstitution, the B3GNT8 antibody can be stored for up to one month at 4oC. For long-term, aliquot and store at -20oC. Avoid repeated freezing and thawing.

Cross
Bulk Quote Request Form
Name*:
Organization*:
Email*:
Phone Number*:
Catalog No.*:
Comments and Specifics(amount, formulation, etc.)*:
Validation code: Captchapackage Image


Can't read the image? click here to refresh.
    *required field

Your bulk quote request has been submitted successfully!

Please contact us if you have any questions.