- Tel: 858.663.9055
- 
									 Email: info@nsjbio.com Email: info@nsjbio.com
- Tel: 858.663.9055
- Email: info@nsjbio.com
 Email: info@nsjbio.com
Email: info@nsjbio.com
								Related Products
| 
 | 
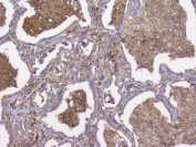
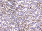
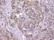
Beta-2 microglobulin also known as B2M is a component of MHC class I molecules, which are present on all nucleated cells (excludes red blood cells). In humans, the beta-2-microglobulin protein is encoded by the B2M gene. The protein has a predominantly beta-pleated sheet structure that can form amyloid fibrils in some pathological conditions. The encoded antimicrobial protein displays antibacterial activity in amniotic fluid. A mutation in this gene has been shown to result in hypercatabolic hypoproteinemia.
Optimal dilution of the B2M antibody should be determined by the researcher.
Amino acids Q22-M119 from the human protein were used as the immunogen for the B2M antibody.
After reconstitution, the B2M antibody can be stored for up to one month at 4oC. For long-term, aliquot and store at -20oC. Avoid repeated freezing and thawing.
 
Your bulk quote request has been submitted successfully!
Please contact us if you have any questions.