• Tel: 858.663.9055
  • SeparatorEmail: info@nsjbio.com
  • Tel: 858.663.9055
  • Email: info@nsjbio.com
Home >> Antibodies >> B-Cell Lymphoma 6 Antibody / BCL6

B-Cell Lymphoma 6 Antibody / BCL6 [clone BCL6/8808R] (V5023)

  Catalog No Formulation Size Price (USD)  
Image V5023-100UG 0.2 mg/ml in 1X PBS with 0.1 mg/ml BSA (US sourced), 0.05% sodium azide 100 ug 539
Image
V5023-20UG 0.2 mg/ml in 1X PBS with 0.1 mg/ml BSA (US sourced), 0.05% sodium azide 20 ug 249
Image
V5023SAF-100UG 1 mg/ml in 1X PBS; BSA free, sodium azide free 100 ug 539
Microvalidated Recrabbitmono
Bulk quote request
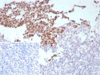
IHC staining of FFPE human tonsil tissue with B-Cell Lymphoma 6 antibody (clone BCL6/8808R). Inset: PBS used in place of primary Ab (secondary Ab negative control). HIER: boil tissue sections in pH 9 10mM Tris with 1mM EDTA for 20 min and allow to cool before testing.
Availability 1-3 business days
Species Reactivity Human
Format Purified
Clonality Recombinant Rabbit Monoclonal
Isotype Rabbit IgG, kappa
Clone Name BCL6/8808R
Purity Protein A/G affinity
UniProt P41182
Localization Nucleus
Applications Immunohistochemistry (FFPE) : 1-2ug/ml for 30 min at RT
Limitations This B-Cell Lymphoma 6 antibody is available for research use only.
Review this product on BioCompare and get a $20 Amazon gift card

Related Products

Description

Recognizes a protein of 95kDa, which is identified as Bcl-6. Antibody to bcl-6 is helpful in a number of diagnostic settings: (1) In the differential diagnosis of small B-cell lymphoma. Follicular lymphoma will show bcl-6 (and CD10) positivity whereas other small B-cell lymphomas are usually negative. (2) Bcl-6 is an important prognostic marker in diffuse large B-cell lymphomas (DLBCL), where CD10, bcl-6 and MUM1/IRF4 are used to identify germinal center and activated B-cell phenotypes. (3) Bcl-6 can be valuable in distinguishing classical Hodgkin lymphoma from nodular lymphocyte predominant Hodgkin lymphoma (NLPHL). The Reed-Sternberg cells of classical Hodgkin lymphoma are bcl-6 negative whereas the large ( L&H ) cells of NLPHL are bcl-6 positive. In contrast, anti-Bcl-6 rarely stains mantle-cell lymphoma and MALT lymphoma.

Application Notes

Optimal dilution of the B-Cell Lymphoma 6 antibody should be determined by the researcher.

Immunogen

A recombinant partial protein sequence (within amino acids 1-400) from the human protein was used as the immunogen for the B-Cell Lymphoma 6 antibody.

Storage

Aliquot the B-Cell Lymphoma 6 antibody and store frozen at -20oC or colder. Avoid repeated freeze-thaw cycles.

Cross
Bulk Quote Request Form
Name*:
Organization*:
Email*:
Phone Number*:
Catalog No.*:
Comments and Specifics(amount, formulation, etc.)*:
Validation code: Captchapackage Image


Can't read the image? click here to refresh.
    *required field

Your bulk quote request has been submitted successfully!

Please contact us if you have any questions.