• Tel: 858.663.9055
  • SeparatorEmail: info@nsjbio.com
  • Tel: 858.663.9055
  • Email: info@nsjbio.com
Home >> Antibodies >> AXIN2 Antibody / Axis inhibition protein 2

AXIN2 Antibody / Axis inhibition protein 2 (RQ7147)

  Catalog No Formulation Size Price (USD)  
Image RQ7147 0.5mg/ml if reconstituted with 0.2ml sterile DI water 100 ug 439
Bulk quote request
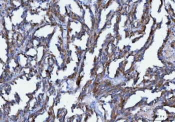
IHC staining of FFPE human renal carcinoma tissue with AXIN2 antibody. HIER: boil tissue sections in pH8 EDTA for 20 min and allow to cool before testing.
IHC staining of FFPE human thyroid cancer tissue with AXIN2 antibody. HIER: boil tissue sections in pH8 EDTA for 20 min and allow to cool before testing.
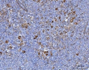
IHC staining of FFPE human spleen tissue with AXIN2 antibody. HIER: boil tissue sections in pH8 EDTA for 20 min and allow to cool before testing.
Western blot testing of human 1) Jurkat, 2) PC-3, 3) MDA-MB-453 and 4) SW620 cell lysate with AXIN2 antibody. Expected molecular weight: 93-100 kDa.
Flow cytometry testing of human HepG2 cells with AXIN2 antibody at 1ug/million cells (blocked with goat sera); Red=cells alone, Green=isotype control, Blue= AXIN2 antibody.
Availability 1-3 business days
Species Reactivity Human
Format Antigen affinity purified
Clonality Polyclonal (rabbit origin)
Isotype Rabbit IgG
Purity Antigen affinity purified
Buffer Lyophilized from 1X PBS with 2% Trehalose
UniProt Q9Y2T1
Localization Cytoplasmic
Applications Western Blot : 0.5-1ug/ml
Immunohistochemistry (FFPE) : 2-5ug/ml
Flow Cytometry : 1-3ug/million cells
Direct ELISA : 0.1-0.5ug/ml
Limitations This AXIN2 antibody is available for research use only.
Review this product on BioCompare and get a $20 Amazon gift card

Related Products

Description

Axin-2 also known as axin-like protein (Axil) or axis inhibition protein 2 (AXIN2) or conductin is a protein that in humans is encoded by the AXIN2 gene. The Axin-related protein, Axin2, presumably plays an important role in the regulation of the stability of beta-catenin in the Wnt signaling pathway, like its rodent homologs, mouse conductin/rat axil. In mouse, conductin organizes a multiprotein complex of APC (adenomatous polyposis of the colon), beta-catenin, glycogen synthase kinase 3-beta, and conductin, which leads to the degradation of beta-catenin. Apparently, the deregulation of beta-catenin is an important event in the genesis of a number of malignancies. The AXIN2 gene has been mapped to 17q23-q24, a region that shows frequent loss of heterozygosity in breast cancer, neuroblastoma, and other tumors. Mutations in this gene have been associated with colorectal cancer with defective mismatch repair.

Application Notes

Optimal dilution of the AXIN2 antibody should be determined by the researcher.

Immunogen

Recombinant human Axin 2/AXIN2 protein (amino acids D614-D843) was used as the immunogen for the AXIN2 antibody.

Storage

After reconstitution, the AXIN2 antibody can be stored for up to one month at 4oC. For long-term, aliquot and store at -20oC. Avoid repeated freezing and thawing.

Cross
Bulk Quote Request Form
Name*:
Organization*:
Email*:
Phone Number*:
Catalog No.*:
Comments and Specifics(amount, formulation, etc.)*:
Validation code: Captchapackage Image


Can't read the image? click here to refresh.
    *required field

Your bulk quote request has been submitted successfully!

Please contact us if you have any questions.