• Tel: 858.663.9055
  • SeparatorEmail: info@nsjbio.com
  • Tel: 858.663.9055
  • Email: info@nsjbio.com
Home >> Antibodies >> AURKB Antibody / Aurora B

AURKB Antibody / Aurora B [clone ARRK2-1] (V3927)

  Catalog No Formulation Size Price (USD)  
Image V3927-100UG 0.2 mg/ml in 1X PBS with 0.1 mg/ml BSA (US sourced) and 0.05% sodium azide 100 ug 539
Image
V3927-20UG 0.2 mg/ml in 1X PBS with 0.1 mg/ml BSA (US sourced) and 0.05% sodium azide 20 ug 249
Image
V3927SAF-100UG 1 mg/ml in 1X PBS; BSA free, sodium azide free 100 ug 539
Bulk quote request
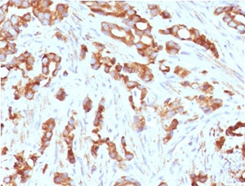
IHC testing of FFPE human prostate tissue with AURKB antibody (clone ARRK2-1). HIER: boil tissue sections in pH6, 10mM citrate buffer, for 10-20 min followed by cooling at RT for 20 min.
Availability 1-3 business days
Species Reactivity Human. Other species not tested.
Format Purified
Clonality Monoclonal (mouse origin)
Isotype Mouse IgG1
Clone Name ARRK2-1
Purity Protein G affinity
UniProt Q96GD4
Localization Nuclear, cytoplasmic
Applications IHC (FFPE) : 1-2ug/ml for 30 min at RT
Limitations This AURKB antibody is available for research use only.
Review this product on BioCompare and get a $20 Amazon gift card

Related Products

Description

Aurora B is a serine/threonine-protein kinase component of the chromosomal passenger complex (CPC), a complex that acts as a key regulator of mitosis. The CPC complex has essential functions at the centromere in ensuring correct chromosome alignment and segregation and is required for chromatin-induced microtubule stabilization and spindle assembly. Involved in the bipolar attachment of spindle microtubules to kinetochores and is a key regulator for the onset of cytokinesis during mitosis. Required for central/midzone spindle assembly and cleavage furrow formation. [UniProt]

Application Notes

Optimal dilution of the AURKB antibody should be determined by the researcher.

Immunogen

Amino acids 89-251 were used as the immunogen for this AURKB antibody.

Storage

Store the AURKB antibody at 2-8oC (with azide) or aliquot and store at -20oC or colder (without azide).

Cross
Bulk Quote Request Form
Name*:
Organization*:
Email*:
Phone Number*:
Catalog No.*:
Comments and Specifics(amount, formulation, etc.)*:
Validation code: Captchapackage Image


Can't read the image? click here to refresh.
    *required field

Your bulk quote request has been submitted successfully!

Please contact us if you have any questions.