• Tel: 858.663.9055
  • SeparatorEmail: info@nsjbio.com
  • Tel: 858.663.9055
  • Email: info@nsjbio.com
Home >> Antibodies >> ATXN3 Antibody

ATXN3 Antibody (R32137)

  Catalog No Formulation Size Price (USD)  
Image R32137 0.5mg/ml if reconstituted with 0.2ml sterile DI water 100 ug 439
Bulk quote request
Western blot testing of 1) rat brain, 2) human COLO320 and 3) human HeLa lysate with ATXN3 antibody. Predicted/observed molecular weight ~42 kDa.
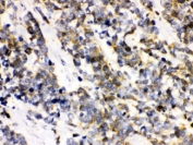
IHC testing of FFPE human lung cancer with ATXN3 antibody. HIER: Boil the paraffin sections in pH 6, 10mM citrate buffer for 20 minutes and allow to cool prior to staining.
Immunofluorescent staining of FFPE human MCF7 cells with ATXN3 antibody (green) and DAPI nuclear stain (blue). HIER: steam section in pH6 citrate buffer for 20 min.
Flow cytometry testing of human A549 cells with ATXN3 antibody at 1ug/million cells (blocked with goat sera); Red=cells alone, Green=isotype control, Blue= ATXN3 antibody.
Flow cytometry testing of human SiHa cells with ATXN3 antibody at 1ug/million cells (blocked with goat sera); Red=cells alone, Green=isotype control, Blue= ATXN3 antibody.
Availability 1-3 business days
Species Reactivity Human, Rat
Format Antigen affinity purified
Clonality Polyclonal (rabbit origin)
Isotype Rabbit IgG
Purity Antigen affinity
Buffer Lyophilized from 1X PBS with 2% Trehalose
UniProt P54252
Localization Nuclear and cytoplasmic
Applications Western Blot : 0.1-0.5ug/ml
Immunohistochemistry (FFPE) : 0.5-1ug/ml
Flow Cytometry : 1-3ug/million cells
Immunofluorescence : 2-4ug/ml
Limitations This ATXN3 antibody is available for research use only.
Review this product on BioCompare and get a $20 Amazon gift card

Related Products

Description

ATXN3 (Ataxin 3), also known as AT3, MJD GENE, MJD1, SCA3 GENE, ATX3, JOS, Spinocerebellar ataxia-3, Machado-Joseph disease protein 1, is a protein that in humans is encoded by the ATXN3 gene. ATXN3 ranges in size from 360 to 374 amino acids. Using Northern blot analysis showed that ATXN3 mRNA was ubiquitously expressed in human tissues. They detected at least 4 ATXN3 transcripts of 1.4, 1.8, 4.5, and 7.5 kb and suggested that the different mRNA species probably result from differential splicing and polyadenylation. Machado-Joseph disease, also known as spinocerebellar ataxia-3, is an autosomal dominant neurologic disorder. The protein encoded by the ATXN3 gene contains (CAG)n repeats in the coding region, and the expansion of these repeats from the normal 13-36 to 68-79 is the cause of Machado-Joseph disease. There is an inverse correlation between the age of onset and CAG repeat numbers. Alternatively spliced transcript variants encoding different isoforms have been described for this gene. Ataxin-3 interacted with 2 human homologs of the yeast DNA repair protein RAD23, HHR23A (RAD23A) and HHR23B (RAD23B). Both normal and mutant ataxin-3 proteins interacted with the ubiquitin-like domain at the N terminus of the HHR23 proteins, which is a motif important for nucleotide excision repair. However, in HEK 293 cells, HHR23A was recruited to intranuclear inclusions formed by the mutant ataxin-3 through its interaction with ataxin-3.

Application Notes

Optimal dilution of the ATXN3 antibody should be determined by the researcher.

Immunogen

Amino acids EEDLQRALALSRQEIDMEDEEADLRRAIQ of human Ataxin 3 were used as the immunogen for the ATXN3 antibody.

Storage

After reconstitution, the ATXN3 antibody can be stored for up to one month at 4oC. For long-term, aliquot and store at -20oC. Avoid repeated freezing and thawing.

Cross
Bulk Quote Request Form
Name*:
Organization*:
Email*:
Phone Number*:
Catalog No.*:
Comments and Specifics(amount, formulation, etc.)*:
Validation code: Captchapackage Image


Can't read the image? click here to refresh.
    *required field

Your bulk quote request has been submitted successfully!

Please contact us if you have any questions.