• Tel: 858.663.9055
  • SeparatorEmail: info@nsjbio.com
  • Tel: 858.663.9055
  • Email: info@nsjbio.com
Home >> Antibodies >> ATXN1 Antibody / Ataxin 1

ATXN1 Antibody / Ataxin 1 (R32138)

  Catalog No Formulation Size Price (USD)  
Image R32138 0.5mg/ml if reconstituted with 0.2ml sterile DI water 100 ug 439
Bulk quote request
Western blot testing of human 1) MCF7, 2) COLO-320 and 3) PANC-1 lysate with ATXN1 antibody. Commonly observed molecular weight: 87-105 kDa.
IHC testing of FFPE human lung cancer with ATXN1 antibody. HIER: Boil the paraffin sections in pH 6, 10mM citrate buffer for 20 minutes and allow to cool prior to staining.
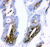
IHC staining of FFPE human colon cancer tissue with ATXN1 antibody. HIER: boil tissue sections in pH8 EDTA for 20 min and allow to cool before testing.
IHC staining of FFPE mouse brain tissue with ATXN1 antibody. HIER: boil tissue sections in pH8 EDTA for 20 min and allow to cool before testing.
IHC staining of FFPE rat brain tissue with ATXN1 antibody. HIER: boil tissue sections in pH8 EDTA for 20 min and allow to cool before testing.
Immunofluorescent staining of FFPE human HepG2 cells with ATXN1 antibody (green) and DAPI nuclear stain (blue). HIER: steam section in pH6 citrate buffer for 20 min.
Western blot testing of 1) rat brain and 2) mouse brain tissue lysate with ATXN1 antibody. Commonly observed molecular weight: 87-105 kDa.
Flow cytometry testing of human SiHa cells with ATXN1 antibody at 1ug/million cells (blocked with goat sera); Red=cells alone, Green=isotype control, Blue= ATXN1 antibody.
Availability 1-3 business days
Species Reactivity Human, Mouse, Rat
Format Antigen affinity purified
Clonality Polyclonal (rabbit origin)
Isotype Rabbit IgG
Purity Antigen affinity
Buffer Lyophilized from 1X PBS with 2.5% BSA and 0.025% sodium azide
UniProt P54253
Localization Cytoplasm, Nucleus
Applications Western Blot : 0.1-0.5ug/ml
Immunohistochemistry (FFPE) : 2-5ug/ml
Immunofluorescence : 5ug/ml
Flow Cytometry : 1-3ug/million cells
Limitations This ATXN1 antibody is available for research use only.
Review this product on BioCompare and get a $20 Amazon gift card

Related Products

Description

Ataxin-1 is a protein that in humans is encoded by the ATXN1 gene. The ATXN1 gene had been mapped to 6p23 by in situ hybridization. Ataxin-1 (ATXN1), a causative factor for spinocerebellar ataxia type 1 (SCA1), and the related Brother of ATXN1 (BOAT1) are human proteins involved in transcriptional repression. ATXN1 and BOAT1 might participate in several Notch-controlled developmental and pathological processes.

Application Notes

Optimal dilution of the ATXN1 antibody should be determined by the researcher.

Immunogen

Amino acids ESRKLEKSEDEPPLTLPKPSLIPQEVKICIE of human Ataxin 1 were used as the immunogen for the ATXN1 antibody.

Storage

After reconstitution, the ATXN1 antibody can be stored for up to one month at 4oC. For long-term, aliquot and store at -20oC. Avoid repeated freezing and thawing.

Cross
Bulk Quote Request Form
Name*:
Organization*:
Email*:
Phone Number*:
Catalog No.*:
Comments and Specifics(amount, formulation, etc.)*:
Validation code: Captchapackage Image


Can't read the image? click here to refresh.
    *required field

Your bulk quote request has been submitted successfully!

Please contact us if you have any questions.