• Tel: 858.663.9055
  • SeparatorEmail: info@nsjbio.com
  • Tel: 858.663.9055
  • Email: info@nsjbio.com
Home >> Antibodies >> ATX2 Antibody

ATX2 Antibody (R32313)

  Catalog No Formulation Size Price (USD)  
Image R32313 0.5mg/ml if reconstituted with 0.2ml sterile DI water 100 ug 439
Bulk quote request
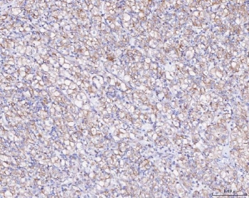
IHC staining of FFPE human glioma tissue with ATX2 antibody. HIER: boil tissue sections in pH8 EDTA for 20 min and allow to cool before testing.
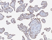
IHC staining of FFPE human placenta tissue with ATX2 antibody. HIER: boil tissue sections in pH8 EDTA for 20 min and allow to cool before testing.
IHC staining of FFPE human colonic adenoma cancer tissue with ATX2 antibody. HIER: boil tissue sections in pH8 EDTA for 20 min and allow to cool before testing.
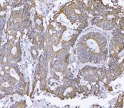
IHC staining of FFPE human breast cancer tissue with ATX2 antibody. HIER: boil tissue sections in pH8 EDTA for 20 min and allow to cool before testing.
Western blot testing of human 1) HeLa, 2) K562, 3) A549, 4) rat brain, 5) mouse brain, and 6) mouse liver tissue lysate with ATX2 antibody. Expected molecular weight: 114~140 kDa.
Availability 1-3 business days
Species Reactivity Human, Mouse, Rat
Format Antigen affinity purified
Clonality Polyclonal (rabbit origin)
Isotype Rabbit IgG
Purity Antigen affinity
Buffer Lyophilized from 1X PBS with 2% Trehalose
UniProt Q99700
Localization Cytoplasmic
Applications Western Blot : 0.5-1ug/ml
Immunohistochemistry (FFPE) : 2-5ug/ml
Limitations This ATX2 antibody is available for research use only.
Review this product on BioCompare and get a $20 Amazon gift card

Related Products

Description

Ataxin-2, or ATX2, protein is encoded by the ATXN2 gene and contains a polyglutamine tract, long expansions (greater than 33 repeats) of which result in spinocerebellar ataxia-2 (SCA2), an autosomal dominant form of olivopontocerebellar atrophy. The gene for spinocerebellar ataxia type 2 (SCA2) has been mapped to 12q24.1. Ataxin-2 associates with L- and T-plastin and that overexpression of ataxin-2 leads to accumulation of T-plastin in mammalian cells.

Application Notes

Optimal dilution of the ATX2 antibody should be determined by the researcher.

Immunogen

Amino acids QSALQPIPVSTTAHFPYMTHPSVQAHHQQQL of human ATXN2 were used as the immunogen for the ATX2 antibody.

Storage

After reconstitution, the ATX2 antibody can be stored for up to one month at 4oC. For long-term, aliquot and store at -20oC. Avoid repeated freezing and thawing.

Cross
Bulk Quote Request Form
Name*:
Organization*:
Email*:
Phone Number*:
Catalog No.*:
Comments and Specifics(amount, formulation, etc.)*:
Validation code: Captchapackage Image


Can't read the image? click here to refresh.
    *required field

Your bulk quote request has been submitted successfully!

Please contact us if you have any questions.