• Tel: 858.663.9055
  • SeparatorEmail: info@nsjbio.com
  • Tel: 858.663.9055
  • Email: info@nsjbio.com
Home >> Antibodies >> ATPase subunit F6 Antibody / ATP5PF

ATPase subunit F6 Antibody / ATP5PF (F54650)

  Catalog No Formulation Size Price (USD)  
Image F54650-0.4ML In 1X PBS, pH 7.4, with 0.09% sodium azide 0.4 ml 429
Image
F54650-0.08ML In 1X PBS, pH 7.4, with 0.09% sodium azide 0.08 ml 199
Bulk quote request
Western blot testing of mouse stomach tissue lysate with ATPase subunit F6 antibody. Predicted molecular weight ~13 kDa.
Western blot testing of rat heart tissue lysate with ATPase subunit F6 antibody. Predicted molecular weight ~13 kDa.
Immunofluorescent staining of human U-251 MG cells with ATPase subunit F6 antibody (green), DAPI nuclear stain (blue) and anti-Actin (red).
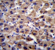
IHC testing of FFPE human liver tissue with ATPase subunit F6 antibody. HIER: steam section in pH6 citrate buffer for 20 min and allow to cool prior to staining.
Availability 1-3 business days
Species Reactivity Human, Mouse, Rat
Format Purified
Clonality Polyclonal (rabbit origin)
Isotype Rabbit IgG
Purity Antigen affinity purified
UniProt P18859
Localization Cytoplasmic
Applications Western Blot : 1:500-1:2000
Immunofluorescence : 1:25
Immunohistochemistry (FFPE) : 1:25
Limitations This ATPase subunit F6 antibody is available for research use only.
Review this product on BioCompare and get a $20 Amazon gift card

Description

Mitochondrial ATP synthase catalyzes ATP synthesis, utilizing an electrochemical gradient of protons across the inner membrane during oxidative phosphorylation. It is composed of two linked multi-subunit complexes: the soluble catalytic core, F1, and the membrane-spanning component, Fo, which comprises the proton channel. The F1 complex consists of 5 different subunits (alpha, beta, gamma, delta, and epsilon) assembled in a ratio of 3 alpha, 3 beta, and a single representative of the other 3. The Fo seems to have nine subunits (a, b, c, d, e, f, g, F6 and 8). This gene encodes the F6 subunit of the Fo complex, required for F1 and Fo interactions. Alternatively spliced transcript variants encoding different isoforms have been identified for this gene. A pseudogene exists on chromosome Yp11.

Application Notes

The stated application concentrations are suggested starting points. Titration of the ATPase subunit F6 antibody may be required due to differences in protocols and secondary/substrate sensitivity.

Immunogen

A portion of amino acids 28-56 from the human protein was used as the immunogen for the ATPase subunit F6 antibody.

Storage

Aliquot the ATPase subunit F6 antibody and store frozen at -20oC or colder. Avoid repeated freeze-thaw cycles.

Cross
Bulk Quote Request Form
Name*:
Organization*:
Email*:
Phone Number*:
Catalog No.*:
Comments and Specifics(amount, formulation, etc.)*:
Validation code: Captchapackage Image


Can't read the image? click here to refresh.
    *required field

Your bulk quote request has been submitted successfully!

Please contact us if you have any questions.