• Tel: 858.663.9055
  • SeparatorEmail: info@nsjbio.com
  • Tel: 858.663.9055
  • Email: info@nsjbio.com
Home >> Antibodies >> ATP6V1A Antibody / V-ATPase subunit A

ATP6V1A Antibody / V-ATPase subunit A (RQ6823)

  Catalog No Formulation Size Price (USD)  
Image RQ6823 0.5mg/ml if reconstituted with 0.2ml sterile DI water 100 ug 439
Bulk quote request
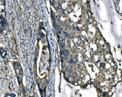
IHC staining of FFPE human lung cancer tissue with ATP6V1A antibody. HIER: boil tissue sections in pH8 EDTA for 20 min and allow to cool before testing.
IHC staining of FFPE human splenic rupture tissue with ATP6V1A antibody. HIER: boil tissue sections in pH8 EDTA for 20 min and allow to cool before testing.
IHC staining of FFPE human cervical cancer tissue with ATP6V1A antibody. HIER: boil tissue sections in pH8 EDTA for 20 min and allow to cool before testing.
IHC staining of FFPE adenocarcinoma of the colon with ATP6V1A antibody. HIER: boil tissue sections in pH8 EDTA for 20 min and allow to cool before testing.
IHC staining of FFPE human liver cancer tissue with ATP6V1A antibody. HIER: boil tissue sections in pH8 EDTA for 20 min and allow to cool before testing.
IHC staining of FFPE human renal cell carcinoma tissue with ATP6V1A antibody. HIER: boil tissue sections in pH8 EDTA for 20 min and allow to cool before testing.
IHC staining of FFPE human tonsil tissue with ATP6V1A antibody. HIER: boil tissue sections in pH8 EDTA for 20 min and allow to cool before testing.
Immunofluorescent staining of FFPE human A549 cells with ATP6V1A antibody (red) and DAPI nuclear stain (blue). HIER: steam section in pH6 citrate buffer for 20 min.
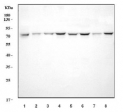
Western blot testing of human 1) U-87 MG, 2) A431, 3) RT4, 4) SiHa, 5) Caco-2, 6) K562, 7) HEL and 8) HeLa cell lysate with ATP6V1A antibody. Predicted molecular weight ~68 kDa.
Western blot testing of 1) rat brain, 2) rat kidney, 3) rat thymus, 4) rat NRK, 5) mouse brain and 6) mouse kidney tissue lysate with ATP6V1A antibody. Predicted molecular weight ~68 kDa.
Flow cytometry testing of human U-251 cells with ATP6V1A antibody at 1ug/million cells (blocked with goat sera); Red=cells alone, Green=isotype control, Blue= ATP6V1A antibody.
Flow cytometry testing of human JK-1 cells with ATP6V1A antibody at 1ug/million cells (blocked with goat sera); Red=cells alone, Green=isotype control, Blue= ATP6V1A antibody.
Availability 1-3 business days
Species Reactivity Human, Mouse, Rat
Format Antigen affinity purified
Clonality Polyclonal (rabbit origin)
Isotype Rabbit IgG
Purity Antigen affinity purified
Buffer Lyophilized from 1X PBS with 2% Trehalose
UniProt P38606
Localization Cytoplasmic
Applications Western Blot : 1-2ug/ml
Immunohistochemistry (FFPE) : 2-5ug/ml
Immunofluorescence (FFPE) : 5ug/ml
Flow Cytometry : 1-3ug/million cells
Direct ELISA : 0.1-0.5ug/ml
Limitations This ATP6V1A antibody is available for research use only.
Review this product on BioCompare and get a $20 Amazon gift card

Related Products

Description

V-type proton ATPase catalytic subunit A is an enzyme that in humans is encoded by the ATP6V1A gene. This gene encodes a component of vacuolar ATPase (V-ATPase), a multisubunit enzyme that mediates acidification of eukaryotic intracellular organelles. V-ATPase dependent organelle acidification is necessary for such intracellular processes as protein sorting, zymogen activation, receptor-mediated endocytosis, and synaptic vesicle proton gradient generation. V-ATPase is composed of a cytosolic V1 domain and a transmembrane V0 domain. The V1 domain consists of three A and three B subunits, two G subunits plus the C, D, E, F, and H subunits. The V1 domain contains the ATP catalytic site. The V0 domain consists of five different subunits: a, c, c', c, and d. Additional isoforms of many of the V1 and V0 subunit proteins are encoded by multiple genes or alternatively spliced transcript variants. This encoded protein is one of two V1 domain A subunit isoforms and is found in all tissues. Transcript variants derived from alternative polyadenylation exist.

Application Notes

Optimal dilution of the ATP6V1A antibody should be determined by the researcher.

Immunogen

Recombinant human protein (amino acids R129-D617) was used as the immunogen for the ATP6V1A antibody.

Storage

After reconstitution, the ATP6V1A antibody can be stored for up to one month at 4oC. For long-term, aliquot and store at -20oC. Avoid repeated freezing and thawing.

Cross
Bulk Quote Request Form
Name*:
Organization*:
Email*:
Phone Number*:
Catalog No.*:
Comments and Specifics(amount, formulation, etc.)*:
Validation code: Captchapackage Image


Can't read the image? click here to refresh.
    *required field

Your bulk quote request has been submitted successfully!

Please contact us if you have any questions.