• Tel: 858.663.9055
  • SeparatorEmail: info@nsjbio.com
  • Tel: 858.663.9055
  • Email: info@nsjbio.com
Home >> Antibodies >> ATP5H Antibody

ATP5H Antibody (R31741)

  Catalog No Formulation Size Price (USD)  
Image R31741 0.5mg/ml if reconstituted with 0.2ml sterile DI water 100 ug 439
Bulk quote request
Immunofluorescent staining of FFPE human MCF7 cells with ATP5H antibody (green) and DAPI nuclear stain (blue). HIER: steam section in pH6 citrate buffer for 20 min.
Immunofluorescent staining of FFPE human T-47D cells with ATP5H antibody (green) and DAPI nuclear stain (blue). HIER: steam section in pH6 citrate buffer for 20 min.
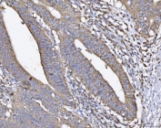
IHC staining of FFPE human rectal cancer tissue with ATP5H antibody. HIER: boil tissue sections in pH8 EDTA for 20 min and allow to cool before testing.
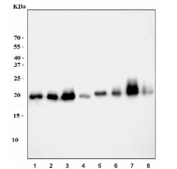
Western blot testing of 1) human HeLa, 2) human HepG2, 3) human U-87 MG, 4) human A549, 5) monkey COS-7, 6) human SW620, 7) human Jurkat and 8) human 293T cell lysate with ATP5H antibody. Expected molecular weight: ~22 kDa.
Western blot testing of 1) rat brain, 2) rat liver, 3) rat heart, 4) rat PC-12, 5) mouse brain, 6) mouse liver, 7) mouse heart and 8) mouse ANA-1 cell lysate with ATP5H antibody. Expected molecular weight: ~22 kDa.
Availability 1-3 business days
Species Reactivity Human, Mouse, Rat, Monkey
Format Antigen affinity purified
Clonality Polyclonal (rabbit origin)
Isotype Rabbit IgG
Purity Antigen affinity
Buffer Lyophilized from 1X PBS with 2% Trehalose
Gene ID 10476
Applications Western Blot : 0.5-1ug/ml
Immunohistochemistry (FFPE) : 2-5ug/ml
Immunofluorescence : 5ug/ml
Limitations This ATP5H antibody is available for research use only.
Review this product on BioCompare and get a $20 Amazon gift card

Related Products

  • Applications : WB, IHC-P, IF
    Reactivity : Human, Mouse, Rat, Monkey

Description

ATP5H is the 'd' subunit of Mitochondrial ATP synthase complex which catalyzes ATP synthesis utilizing an electrochemical gradient of protons across the inner membrane during oxidative phosphorylation. The ATP synthase is composed of two linked multi-subunit complexes: the soluble catalytic core, F1, and the membrane-spanning component, Fo, which comprises the proton channel. The F1 complex consists of 5 different subunits (alpha, beta, gamma, delta, and epsilon) assembled in a ratio of 3 alpha, 3 beta, and a single representative of the other 3. The Fo has nine known subunits (a, b, c, d, e, f, g, F6 and 8). The ATP5H gene encodes the d subunit of the Fo complex.

Application Notes

The stated application concentrations are suggested starting amounts. Titration of the ATP5H antibody may be required due to differences in protocols and secondary/substrate sensitivity.

Immunogen

Human partial recombinant protein (AA 2-161) was used as the immunogen for this ATP5H antibody.

Storage

After reconstitution, the ATP5H antibody can be stored for up to one month at 4oC. For long-term, aliquot and store at -20oC. Avoid repeated freezing and thawing.

Cross
Bulk Quote Request Form
Name*:
Organization*:
Email*:
Phone Number*:
Catalog No.*:
Comments and Specifics(amount, formulation, etc.)*:
Validation code: Captchapackage Image


Can't read the image? click here to refresh.
    *required field

Your bulk quote request has been submitted successfully!

Please contact us if you have any questions.