• Tel: 858.663.9055
  • SeparatorEmail: info@nsjbio.com
  • Tel: 858.663.9055
  • Email: info@nsjbio.com
Home >> Antibodies >> ATP5B Antibody

ATP5B Antibody (F54243)

  Catalog No Formulation Size Price (USD)  
Image F54243-0.4ML In 1X PBS, pH 7.4, with 0.09% sodium azide 0.4 ml 429
Image
F54243-0.08ML In 1X PBS, pH 7.4, with 0.09% sodium azide 0.08 ml 199
Bulk quote request
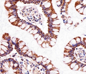
IHC testing of FFPE human small intestine tissue with ATP5B antibody. HIER: steam section in pH6 citrate buffer for 20 min and allow to cool prior to staining.
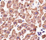
IHC testing of FFPE human liver tissue with ATP5B antibody. HIER: steam section in pH6 citrate buffer for 20 min and allow to cool prior to staining.
IHC testing of FFPE human brain tissue with ATP5B antibody. HIER: steam section in pH6 citrate buffer for 20 min and allow to cool prior to staining.
Immunofluorescent staining of fixed and permeabilized human SK-BR-3 cells with ATP5B antibody (green) and DAPI nuclear stain (blue).
Western blot testing of human WiDr cell lysate in the absence and presence of immunizing peptide with ATP5B antibody. Predicted molecular weight ~56 kDa.
Western blot testing of 1) non-transfected and 2) transfected human 293 cell lysate with ATP5B antibody. Predicted molecular weight ~56 kDa.
Flow cytometry testing of fixed and permeabilized human WiDr cells with ATP5B antibody; Blue=isotype control, Green= ATP5B antibody.
Availability 1-3 business days
Species Reactivity Human
Format Purified
Clonality Polyclonal (rabbit origin)
Isotype Rabbit Ig
Purity Antigen affinity purified
UniProt P06576
Gene ID 506
Localization Cytoplasmic
Applications Western Blot : 1:1000
Immunohistochemistry (FFPE) : 1:25-1:100
Flow Cytometry : 1:25 (1x10e6 cells)
Immunofluorescence : 1:25
Limitations This ATP5B antibody is available for research use only.
Review this product on BioCompare and get a $20 Amazon gift card

Related Products

Description

ATP5B is a subunit of mitochondrial ATP synthase. Mitochondrial ATP synthase catalyzes ATP synthesis, utilizing an electrochemical gradient of protons across the inner membrane during oxidative phosphorylation. ATP synthase is composed of two linked multi-subunit complexes: the soluble catalytic core, F1, and the membrane-spanning component, Fo, comprising the proton channel. The catalytic portion of mitochondrial ATP synthase consists of 5 different subunits (alpha, beta, gamma, delta, and epsilon) assembled with a stoichiometry of 3 alpha, 3 beta, and a single representative of the other 3. The proton channel consists of three main subunits (a, b, c). It is the beta subunit of the catalytic core.

Application Notes

The stated application concentrations are suggested starting points. Titration of the ATP5B antibody may be required due to differences in protocols and secondary/substrate sensitivity.

Immunogen

A portion of amino acids 135-163 from the human protein were used as the immunogen for the ATP5B antibody.

Storage

Aliquot the ATP5B antibody and store frozen at -20oC or colder. Avoid repeated freeze-thaw cycles.

Cross
Bulk Quote Request Form
Name*:
Organization*:
Email*:
Phone Number*:
Catalog No.*:
Comments and Specifics(amount, formulation, etc.)*:
Validation code: Captchapackage Image


Can't read the image? click here to refresh.
    *required field

Your bulk quote request has been submitted successfully!

Please contact us if you have any questions.