• Tel: 858.663.9055
  • SeparatorEmail: info@nsjbio.com
  • Tel: 858.663.9055
  • Email: info@nsjbio.com
Home >> Antibodies >> ATP5A1 Antibody / ATP5F1A / ATP synthase subunit alpha

ATP5A1 Antibody / ATP5F1A / ATP synthase subunit alpha (RQ7217)

  Catalog No Formulation Size Price (USD)  
Image RQ7217 0.5mg/ml if reconstituted with 0.2ml sterile DI water 100 ug 439
Bulk quote request
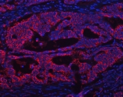
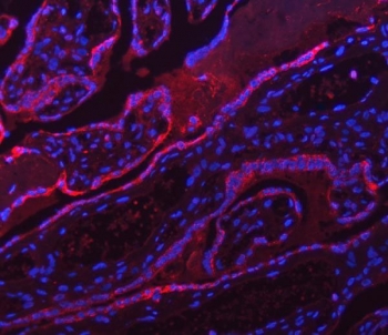
Immunofluorescent staining of FFPE human placental tissue with ATP5A1 antibody (red) and DAPI nuclear stain (blue). HIER: steam section in pH8 EDTA for 20 min.
Immunofluorescent staining of FFPE human colon cancer tissue with ATP5A1 antibody (red) and DAPI nuclear stain (blue). HIER: steam section in pH8 EDTA for 20 min.
Immunofluorescent staining of FFPE human HepG2 cells with ATP5A1 antibody (green) and DAPI nuclear stain (blue). HIER: steam section in pH6 citrate buffer for 20 min.
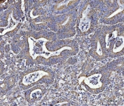
IHC staining of FFPE human endometrial adenocarcinoma tissue with ATP5A1 antibody. HIER: boil tissue sections in pH8 EDTA for 20 min and allow to cool before testing.
IHC staining of FFPE human thyroid cancer tissue with ATP5A1 antibody. HIER: boil tissue sections in pH8 EDTA for 20 min and allow to cool before testing.
IHC staining of FFPE human rectal cancer tissue with ATP5A1 antibody. HIER: boil tissue sections in pH8 EDTA for 20 min and allow to cool before testing.
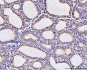
IHC staining of FFPE human placental tissue with ATP5A1 antibody. HIER: boil tissue sections in pH8 EDTA for 20 min and allow to cool before testing.
Western blot testing of human 1) SK-OV-3, 2) MCF7, 3) HL60, 4) RT4, 5) Daudi, 6) ThP-1 and 7) HepG2 cell lysate with ATP5A1 antibody. Predicted molecular weight ~54-60 kDa (multiple isoforms).
Western blot testing of 1) rat heart, 2) rat brain, 3) rat lung, 4) rat H9C2(2-1), 5) mouse heart, 6) mouse brain, 7) mouse lung and 8) mouse NIH 3T3 cell lysate with ATP5A1 antibody. Predicted molecular weight ~54-60 kDa (multiple isoforms).
Flow cytometry testing of human U937 cells with ATP5A1 antibody at 1ug/million cells (blocked with goat sera); Red=cells alone, Green=isotype control, Blue= ATP5A1 antibody.
Availability 1-3 business days
Species Reactivity Human, Mouse, Rat
Format Antigen affinity purified
Clonality Polyclonal (rabbit origin)
Isotype Rabbit IgG
Purity Antigen affinity purified
Buffer Lyophilized from 1X PBS with 2% Trehalose
UniProt P25705
Applications Western Blot : 0.5-1ug/ml
Immunohistochemistry (FFPE) : 2-5ug/ml
Immunofluorescence : 5ug/ml
Flow Cytometry : 1-3ug/million cells
Direct ELISA : 0.1-0.5ug/ml
Limitations This ATP5A1 antibody is available for research use only.
Review this product on BioCompare and get a $20 Amazon gift card

Related Products

Description

ATP synthase F1 subunit alpha, mitochondrial, also called ATP synthase subunit alpha and ATP5A1, is an enzyme that in humans is encoded by the ATP5F1A gene. This gene encodes a subunit of mitochondrial ATP synthase. Mitochondrial ATP synthase catalyzes ATP synthesis, using an electrochemical gradient of protons across the inner membrane during oxidative phosphorylation. ATP synthase is composed of two linked multi-subunit complexes: the soluble catalytic core, F1, and the membrane-spanning component, Fo, comprising the proton channel. The catalytic portion of mitochondrial ATP synthase consists of 5 different subunits (alpha, beta, gamma, delta, and epsilon) assembled with a stoichiometry of 3 alpha, 3 beta, and a single representative of the other 3. The proton channel consists of three main subunits (a, b, c). This gene encodes the alpha subunit of the catalytic core. Alternatively spliced transcript variants encoding the different isoforms have been identified. Pseudogenes of this gene are located on chromosomes 9, 2, and 16.

Application Notes

Optimal dilution of the ATP5A1 antibody should be determined by the researcher.

Immunogen

Recombinant human protein (amino acids R12-Q520) was used as the immunogen for the ATP5A1 antibody.

Storage

After reconstitution, the ATP5A1 antibody can be stored for up to one month at 4oC. For long-term, aliquot and store at -20oC. Avoid repeated freezing and thawing.

Cross
Bulk Quote Request Form
Name*:
Organization*:
Email*:
Phone Number*:
Catalog No.*:
Comments and Specifics(amount, formulation, etc.)*:
Validation code: Captchapackage Image


Can't read the image? click here to refresh.
    *required field

Your bulk quote request has been submitted successfully!

Please contact us if you have any questions.