• Tel: 858.663.9055
  • SeparatorEmail: info@nsjbio.com
  • Tel: 858.663.9055
  • Email: info@nsjbio.com
Home >> Antibodies >> ATP4A Antibody / Potassium-transporting ATPase alpha chain 1

ATP4A Antibody / Potassium-transporting ATPase alpha chain 1 (RQ7146)

  Catalog No Formulation Size Price (USD)  
Image RQ7146 0.5mg/ml if reconstituted with 0.2ml sterile DI water 100 ug 439
Bulk quote request
IHC staining of FFPE rat stomach tissue with ATP4A antibody. HIER: boil tissue sections in pH8 EDTA for 20 min and allow to cool before testing.
Western blot testing of 1) rat testis, 2) rat stomach, 3) mouse testis and 4) mouse stomach tissue lysate with ATP4A antibody. Predicted molecular weight ~114 kDa.
Flow cytometry testing of fixed human Daudi cells with ATP4A antibody at 1ug/million cells (blocked with goat sera); Red=cells alone, Green=isotype control, Blue= ATP4A antibody.
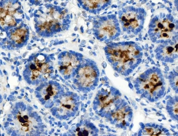
IHC staining of FFPE human stomach cancer tissue with ATP4A antibody, HRP-secondary and DAB substrate. HIER: boil tissue sections in pH8 EDTA for 20 min and allow to cool before testing.
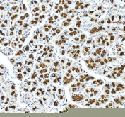
IHC staining of FFPE human stomach tissue with ATP4A antibody, HRP-secondary and DAB substrate. HIER: boil tissue sections in pH8 EDTA for 20 min and allow to cool before testing.
Availability 1-3 business days
Species Reactivity Human, Mouse, Rat
Format Antigen affinity purified
Clonality Polyclonal (rabbit origin)
Isotype Rabbit IgG
Purity Antigen affinity purified
Buffer Lyophilized from 1X PBS with 2% Trehalose
UniProt P20648
Applications Western Blot : 0.5-1ug/ml
Immunohistochemistry (FFPE) : 2-5ug/ml
Flow Cytometry : 1-3ug/million cells
Limitations This ATP4A antibody is available for research use only.
Review this product on BioCompare and get a $20 Amazon gift card

Description

ATP4A, also known as the potassium-transporting ATPase alpha chain 1, is the catalytic subunit of the gastric H+/K+-ATPase pump. This membrane-bound enzyme is responsible for exchanging cytoplasmic protons for extracellular potassium ions, a process essential for gastric acid secretion in the stomach's parietal cells. The alpha subunit contains the ion transport sites, ATP-binding regions, and phosphorylation domains that drive the pump's electrogenic activity.

By maintaining the acidic environment of the stomach, ATP4A plays a key role in digestion and the activation of gastric enzymes. Its expression and function are also studied in the context of ion transport regulation, membrane protein trafficking, and pharmacologic inhibition mechanisms.

The ATP4A antibody is a dependable reagent for detecting endogenous ATP4A in applications such as western blot, immunohistochemistry, and immunofluorescence. Researchers use the ATP4A antibody from NSJ Bioreagents to measure protein abundance, assess membrane localization, and monitor changes in expression under defined experimental conditions. With high specificity and consistent performance, the ATP4A antibody supports detailed investigations into ion transport biology, membrane protein regulation, and gastric physiology.

Application Notes

Optimal dilution of the ATP4A antibody should be determined by the researcher.

Immunogen

Amino acids AELEQKYQTSATKGLSASLAAELLLRD were used as the immunogen for the ATP4A antibody.

Storage

After reconstitution, the ATP4A antibody can be stored for up to one month at 4oC. For long-term, aliquot and store at -20oC. Avoid repeated freezing and thawing.

Cross
Bulk Quote Request Form
Name*:
Organization*:
Email*:
Phone Number*:
Catalog No.*:
Comments and Specifics(amount, formulation, etc.)*:
Validation code: Captchapackage Image


Can't read the image? click here to refresh.
    *required field

Your bulk quote request has been submitted successfully!

Please contact us if you have any questions.