• Tel: 858.663.9055
  • SeparatorEmail: info@nsjbio.com
  • Tel: 858.663.9055
  • Email: info@nsjbio.com
Home >> Antibodies >> ATP2A2 Antibody

ATP2A2 Antibody (R30156)

  Catalog No Formulation Size Price (USD)  
Image R30156 0.5mg/ml if reconstituted with 0.2ml sterile DI water 100 ug 439
Bulk quote request
Western blot testing of ATP2A2 antibody and Lane 1: rat skeletal muscle; 2: mouse skeletal muscle; Expected molecular weight ~115 kDa.
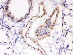
IHC-P: ATP2A2 antibody testing of mouse lung tissue
IHC-P: ATP2A2 antibody testing of rat lung tissue
Availability 1-3 business days
Species Reactivity Human, Mouse, Rat
Format Antigen affinity purified
Clonality Polyclonal (rabbit origin)
Isotype Rabbit IgG
Purity Antigen affinity
Buffer Lyophilized from 1X PBS with 2% Trehalose
Gene ID 488
Applications Western Blot : 0.5-1ug/ml
Immunohistochemistry (FFPE) : 0.5-1ug/ml
Limitations This ATP2A2 antibody is available for research use only.
Review this product on BioCompare and get a $20 Amazon gift card

Related Products

  • Applications : WB, IF/ICC, IHC-P, ELISA (peptide)
    Reactivity : Human, Mouse, Rat
    Pred. Reactivity : Dog, Pig

Description

SERCA2, also called ATP2A2 or ATP2B, encodes one of the SERCA Ca(2+)-ATPases, which are intracellular pumps located in the sarcoplasmic or endoplasmic reticula of muscle cells. They are closely related to the plasma membrane Ca(2+)-ATPases, or PMCAs. SERCA2 belongs to the large family of P-type cation pumps that couple ATP hydrolysis with cation transport across membranes. The SERCA2 gene is mapped to 12q24.11. SERCA2 was expressed in all specimens, with pronounced expression in the subnuclear aspect of basal epidermal keratinocytes. There was variable suprabasal expression. SERCA2 expression was also observed in the infundibulum and outer root sheath of hair follicles; germinative and mature cells of sebaceous glands; secretory coil and duct of eccrine glands; apocrine gland cells; and arrector pili muscle. In Darier disease skin, strong SERCA2 positivity was detected in the basal, suprabasal, and acantholytic lesional cells.

Application Notes

The stated application concentrations are suggested starting amounts. Titration of the ATP2A2 antibody may be required due to differences in protocols and secondary/substrate sensitivity.

Immunogen

An amino acid sequence from the N-terminus of human ATP2A2 (MENAHTKTVEEVLGHFGVNESTGLSLEQVKKL) was used as the immunogen for this ATP2A2 antibody.

Storage

After reconstitution, the ATP2A2 antibody can be stored for up to one month at 4oC. For long-term, aliquot and store at -20oC. Avoid repeated freezing and thawing.

Cross
Bulk Quote Request Form
Name*:
Organization*:
Email*:
Phone Number*:
Catalog No.*:
Comments and Specifics(amount, formulation, etc.)*:
Validation code: Captchapackage Image


Can't read the image? click here to refresh.
    *required field

Your bulk quote request has been submitted successfully!

Please contact us if you have any questions.