• Tel: 858.663.9055
  • SeparatorEmail: info@nsjbio.com
  • Tel: 858.663.9055
  • Email: info@nsjbio.com
Home >> Antibodies >> ATP1B2 Antibody

ATP1B2 Antibody (RQ7216)

  Catalog No Formulation Size Price (USD)  
Image RQ7216 0.5mg/ml if reconstituted with 0.2ml sterile DI water 100 ug 439
Bulk quote request
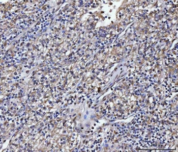
IHC staining of FFPE human glioma tissue with ATP1B2 antibody. HIER: boil tissue sections in pH8 EDTA for 20 min and allow to cool before testing.
Western blot testing of 1) rat brain and 2) mouse brain tissue lysate with ATP1B2 antibody. Predicted molecular weight ~33 kDa but may be observed at higher molecular weights due to glycosylation.
Flow cytometry testing of human U-87 MG cells with ATP1B2 antibody at 1ug/million cells (blocked with goat sera); Red=cells alone, Green=isotype control, Blue= ATP1B2 antibody.
Availability 1-3 business days
Species Reactivity Human, Mouse, Rat
Format Antigen affinity purified
Clonality Polyclonal (rabbit origin)
Isotype Rabbit IgG
Purity Antigen affinity purified
Buffer Lyophilized from 1X PBS with 2% Trehalose
UniProt P14415
Applications Western Blot : 0.5-1ug/ml
Immunohistochemistry (FFPE) : 2-5ug/ml
Direct ELISA : 0.1-0.5ug/ml
Limitations This ATP1B2 antibody is available for research use only.
Review this product on BioCompare and get a $20 Amazon gift card

Description

Sodium/potassium-transporting ATPase subunit beta-2 belongs to the family of Na+/K+ and H+/K+ ATPases beta chain proteins, and to the subfamily of Na+/K+ -ATPases. Na+/K+ -ATPase is an integral membrane protein responsible for establishing and maintaining the electrochemical gradients of Na and K ions across the plasma membrane. These gradients are essential for osmoregulation, for sodium-coupled transport of a variety of organic and inorganic molecules, and for electrical excitability of nerve and muscle. This enzyme is composed of two subunits, a large catalytic subunit (alpha) and a smaller glycoprotein subunit (beta). The beta subunit regulates, through assembly of alpha/beta heterodimers, the number of sodium pumps transported to the plasma membrane. The glycoprotein subunit of Na+/K+ -ATPase is encoded by multiple genes. This gene encodes a beta 2 subunit. Two transcript variants encoding different isoforms have been found for this gene.

Application Notes

Optimal dilution of the ATP1B2 antibody should be determined by the researcher.

Immunogen

Recombinant human protein (amino acids M1-T290) was used as the immunogen for the ATP1B2 antibody.

Storage

After reconstitution, the ATP1B2 antibody can be stored for up to one month at 4oC. For long-term, aliquot and store at -20oC. Avoid repeated freezing and thawing.

Cross
Bulk Quote Request Form
Name*:
Organization*:
Email*:
Phone Number*:
Catalog No.*:
Comments and Specifics(amount, formulation, etc.)*:
Validation code: Captchapackage Image


Can't read the image? click here to refresh.
    *required field

Your bulk quote request has been submitted successfully!

Please contact us if you have any questions.