• Tel: 858.663.9055
  • SeparatorEmail: info@nsjbio.com
  • Tel: 858.663.9055
  • Email: info@nsjbio.com
Home >> Antibodies >> ATP1A2 Antibody / Sodium pump subunit alpha-2

ATP1A2 Antibody / Sodium pump subunit alpha-2 (F54297)

  Catalog No Formulation Size Price (USD)  
Image F54297-0.4ML In 1X PBS, pH 7.4, with 0.09% sodium azide 0.4 ml 429
Image
F54297-0.08ML In 1X PBS, pH 7.4, with 0.09% sodium azide 0.08 ml 199
Bulk quote request
Western blot testing of human skeletal muscle lysate with ATP1A2 antibody. Predicted molecular weight ~112 kDa.
Western blot testing of human MCF7 cell lysate with ATP1A2 antibody. Predicted molecular weight ~112 kDa.
Immunofluorescent staining of fixed and permeabilized human MCF7 cells with ATP1A2 antibody (green) and DAPI nuclear stain (blue).
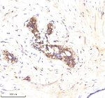
IHC testing of FFPE human brain tissue with ATP1A2 antibody. HIER: steam section in pH6 citrate buffer for 20 min and allow to cool prior to staining.
Flow cytometry testing of fixed and permeabilized human MCF7 cells with ATP1A2 antibody; Blue=isotype control, Green= ATP1A2 antibody.
Availability 1-3 business days
Species Reactivity Human
Format Purified
Clonality Polyclonal (rabbit origin)
Isotype Rabbit Ig
Purity SAS precipitation
UniProt P50993
Applications Western Blot : 1:500-1:2000
Immunohistochemistry (FFPE) : 1:25
Immunofluorescence : 1:25
Flow Cytometry : 1:25 (1x10e6 cells)
Limitations This ATP1A2 antibody is available for research use only.
Review this product on BioCompare and get a $20 Amazon gift card

Related Products

Description

This is the catalytic component of the active enzyme, which catalyzes the hydrolysis of ATP coupled with the exchange of sodium and potassium ions across the plasma membrane. This action creates the electrochemical gradient of sodium and potassium, providing the energy for active transport of various nutrients. [UniProt]

Application Notes

The stated application concentrations are suggested starting points. Titration of the ATP1A2 antibody may be required due to differences in protocols and secondary/substrate sensitivity.

Immunogen

A portion of amino acids 451-479 from the human protein were used as the immunogen for the ATP1A2 antibody.

Storage

Aliquot the ATP1A2 antibody and store frozen at -20oC or colder. Avoid repeated freeze-thaw cycles.

Cross
Bulk Quote Request Form
Name*:
Organization*:
Email*:
Phone Number*:
Catalog No.*:
Comments and Specifics(amount, formulation, etc.)*:
Validation code: Captchapackage Image


Can't read the image? click here to refresh.
    *required field

Your bulk quote request has been submitted successfully!

Please contact us if you have any questions.