• Tel: 858.663.9055
  • SeparatorEmail: info@nsjbio.com
  • Tel: 858.663.9055
  • Email: info@nsjbio.com
Home >> Antibodies >> ATP1A2 Antibody / ATPase subunit alpha-2

ATP1A2 Antibody / ATPase subunit alpha-2 (FY13046)

  Catalog No Formulation Size Price (USD)  
Image FY13046 Adding 0.2 ml of distilled water will yield a concentration of 500 ug/ml 100 ug 439
Bulk quote request
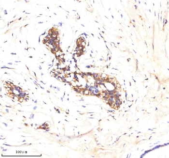
Immunohistochemical staining of ATP1A2 using anti-ATP1A2 antibody. ATP1A2 was detected in a paraffin-embedded section of human breast cancer tissue. Heat mediated antigen retrieval was performed in EDTA buffer (pH 8.0, epitope retrieval solution). The tissue section was blocked with 10% goat serum. The tissue section was then incubated with 2 ug/ml rabbit anti-ATP1A2 antibody overnight at 4oC. Peroxidase Conjugated Goat Anti-rabbit IgG was used as secondary antibody and incubated for 30 minutes at 37oC. The tissue section was developed using an HRP secondary and DAB substrate.
Western blot analysis of ATP1A2 using anti-ATP1A2 antibody. Lane 1: rat brain tissue lysates (100oC boiled for 5 minutes); Lane 2: rat brain tissue lysates (37oC incubated for 10 minutes); Lane 3: mouse brain tissue lysates (100oC boiled for 5 minutes); Lane 4: mouse brain tissue lysates (37oC incubated for 10 minutes). After electrophoresis, proteins were transferred to a nitrocellulose membrane at 150 mA for 50-90 minutes. Blocked the membrane with 5% non-fat milk/TBS for 1.5 hour at RT. The membrane was incubated with rabbit anti-ATP1A2 antibody at 0.5 ug/ml overnight at 4oC, then washed with TBS-0.1%Tween 3 times with 5 minutes each and probed with a goat anti-rabbit IgG-HRP secondary antibody at a dilution of 1:5000 for 1.5 hour at RT. Western blot of ATP1A2 in rat and mouse brain lysates prepared at two denaturation temperatures. A strong band at ~112 kDa corresponds to ATP1A2. In samples incubated at 37°C, an additional higher-molecular-weight band is present, consistent with partially denatured alpha2 complexes (alpha2 with the glycosylated beta subunit and/or oligomeric species). Heating at 100°C for 5 min disrupts these membrane protein assemblies and reduces disulfide bonds, eliminating the upper complex band and yielding predominantly the ATP1A2 monomer.
Immunohistochemical staining of ATP1A2 using anti-ATP1A2 antibody. ATP1A2 was detected in a paraffin-embedded section of mouse cerebellum tissue. Heat mediated antigen retrieval was performed in EDTA buffer (pH 8.0, epitope retrieval solution). The tissue section was blocked with 10% goat serum. The tissue section was then incubated with 2 ug/ml rabbit anti-ATP1A2 antibody overnight at 4oC. Peroxidase Conjugated Goat Anti-rabbit IgG was used as secondary antibody and incubated for 30 minutes at 37oC. The tissue section was developed using an HRP secondary and DAB substrate.
Immunohistochemical staining of ATP1A2 using anti-ATP1A2 antibody. ATP1A2 was detected in a paraffin-embedded section of rat cerebellum tissue. Heat mediated antigen retrieval was performed in EDTA buffer (pH 8.0, epitope retrieval solution). The tissue section was blocked with 10% goat serum. The tissue section was then incubated with 2 ug/ml rabbit anti-ATP1A2 antibody overnight at 4oC. Peroxidase Conjugated Goat Anti-rabbit IgG was used as secondary antibody and incubated for 30 minutes at 37oC. The tissue section was developed using an HRP secondary and DAB substrate.
Availability 1-2 days
Species Reactivity Human, Mouse, Rat
Format Lyophilized
Clonality Polyclonal (rabbit origin)
Isotype Rabbit IgG
Purity Immunogen affinity purified
Buffer Each vial contains 4 mg Trehalose, 0.9 mg NaCl, 0.2 mg Na2HPO4.
UniProt P50993
Applications Western Blot : 0.25-0.5ug/ml
Immunohistochemistry : 2-5ug/ml
ELISA : 0.1-0.5ug/ml
Limitations This ATP1A2 antibody is available for research use only.
Review this product on BioCompare and get a $20 Amazon gift card

Related Products

  • Applications : WB, IHC-P, IF, FACS
    Reactivity : Human

Description

ATP1A2 antibody detects Sodium/potassium-transporting ATPase subunit alpha-2, a membrane enzyme responsible for maintaining electrochemical gradients across the plasma membrane. The UniProt recommended name is Sodium/potassium-transporting ATPase subunit alpha-2 (ATP1A2). This catalytic subunit is part of the Na+/K+-ATPase complex, which hydrolyzes ATP to exchange intracellular sodium ions for extracellular potassium ions, a process fundamental to neuronal excitability and muscle contraction.

Functionally, ATP1A2 antibody identifies a 1,003-amino-acid integral membrane protein that forms the catalytic core of the Na+/K+-ATPase. The enzyme functions as a heterodimer composed of an alpha catalytic subunit and a beta regulatory subunit, cycling through phosphorylated and dephosphorylated states to transport ions against their concentration gradients. This active transport maintains membrane potential, osmotic balance, and secondary transport systems that depend on sodium gradients.

The ATP1A2 gene is located on chromosome 1q23.2 and encodes the alpha-2 isoform of the Na+/K+-ATPase, which is predominantly expressed in glial cells, cardiac muscle, and smooth muscle. The alpha-2 isoform differs from the alpha-1 isoform (ATP1A1) in its tissue distribution and kinetic properties, playing a critical role in regulating extracellular potassium buffering and membrane repolarization. In neurons, ATP1A2 contributes to the reuptake of potassium following action potentials, thereby preventing hyperexcitability.

Clinically, mutations in ATP1A2 are associated with familial hemiplegic migraine type 2 (FHM2), alternating hemiplegia of childhood, and other neurological disorders characterized by disturbed ion homeostasis. These mutations can impair ATPase activity, leading to abnormal ionic gradients, cortical spreading depression, and susceptibility to seizures. In cardiac physiology, ATP1A2 supports rhythmic contraction by maintaining proper ion exchange between cytoplasm and extracellular space.

ATP1A2 antibody is widely used in neuroscience, muscle physiology, and ion transport research. It is suitable for immunohistochemistry, western blotting, and immunofluorescence to detect ATP1A2 expression in excitable tissues. This antibody supports studies of membrane transport, neuronal signaling, and electrochemical regulation. In disease research, it aids in evaluating Na+/K+-ATPase dysfunction in migraine, epilepsy, and cardiovascular disorders.

Structurally, ATP1A2 contains ten transmembrane helices, a cytoplasmic ATP-binding site, and a phosphorylation domain that drives conformational cycling. It interacts with regulatory proteins including phospholemman and FXYD family members. NSJ Bioreagents provides ATP1A2 antibody reagents validated for use in ion transport, membrane biology, and neurological research.

Application Notes

Optimal dilution of the ATP1A2 antibody should be determined by the researcher.

Immunogen

E.coli-derived human ATP1A2 recombinant protein (Position: L46-L580) was used as the immunogen for the ATP1A2 antibody.

Storage

After reconstitution, the ATP1A2 antibody can be stored for up to one month at 4oC. For long-term, aliquot and store at -20oC. Avoid repeated freezing and thawing.

Cross
Bulk Quote Request Form
Name*:
Organization*:
Email*:
Phone Number*:
Catalog No.*:
Comments and Specifics(amount, formulation, etc.)*:
Validation code: Captchapackage Image


Can't read the image? click here to refresh.
    *required field

Your bulk quote request has been submitted successfully!

Please contact us if you have any questions.