• Tel: 858.663.9055
  • SeparatorEmail: info@nsjbio.com
  • Tel: 858.663.9055
  • Email: info@nsjbio.com
Home >> Antibodies >> ATP13A1 Antibody

ATP13A1 Antibody (R35579)

  Catalog No Formulation Size Price (USD)  
Image R35579-100UG 0.5 mg/ml in 1X TBS, pH7.3, with 0.5% BSA (US sourced) and 0.02% sodium azide 100 ug 449
Bulk quote request
Western blot testing of human kidney lysate with ATP13A1 antibody at 0.3ug/ml. Predicted molecular weight: ~133/121/38 kDa (isoforms A/B/C).
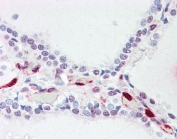
IHC testing of FFPE human thyroid with ATP13A1 antibody at 5ug/ml. Required HIER: steamed antigen retrieval with pH6 citrate buffer; AP-staining.
Availability 1-3 business days
Species Reactivity Human
Predicted Reactivity Mouse, Rat, Dog
Format Antigen affinity purified
Clonality Polyclonal (goat origin)
Isotype Goat Ig
Purity Antigen affinity
UniProt Q9HD20
Localization Cytoplasmic, membranous
Applications Western Blot : 0.3-1ug/ml
IHC (FFPE) : 5ug/ml
ELISA (peptide) LOD : 1:64000
Limitations This ATP13A1 antibody is available for research use only.
Review this product on BioCompare and get a $20 Amazon gift card

Description

Additional name(s) for this target protein: ATPase type 13A1

Application Notes

Optimal dilution of the ATP13A1 antibody should be determined by the researcher.

Immunogen

Amino acids REAQARSPEKQEQ were used as the immunogen for this ATP13A1 antibody. This sequence is common to isoforms A/B/C.

Storage

Aliquot and store the ATP13A1 antibody at -20oC.

Cross
Bulk Quote Request Form
Name*:
Organization*:
Email*:
Phone Number*:
Catalog No.*:
Comments and Specifics(amount, formulation, etc.)*:
Validation code: Captchapackage Image


Can't read the image? click here to refresh.
    *required field

Your bulk quote request has been submitted successfully!

Please contact us if you have any questions.