• Tel: 858.663.9055
  • SeparatorEmail: info@nsjbio.com
  • Tel: 858.663.9055
  • Email: info@nsjbio.com
Home >> Antibodies >> ATP Citrate Lyase Antibody / ACL

ATP Citrate Lyase Antibody / ACL (R32492)

  Catalog No Formulation Size Price (USD)  
Image R32492 0.5mg/ml if reconstituted with 0.2ml sterile DI water 100 ug 439
Bulk quote request
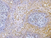
IHC testing of FFPE human colon cancer tissue with ATP Citrate Lyase antibody at 2ug/ml. HIER: steam sections in pH8 EDTA for 20 min.
IHC testing of FFPE human colonic adenocarcinoma tissue with ATP Citrate Lyase antibody at 2ug/ml. HIER: steam sections in pH8 EDTA for 20 min.
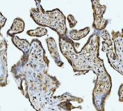
IHC testing of FFPE human placental tissue with ATP Citrate Lyase antibody at 2ug/ml. HIER: steam sections in pH8 EDTA for 20 min.
IHC testing of FFPE human laryngeal squamous cell carcinoma tissue with ATP Citrate Lyase antibody at 2ug/ml. HIER: steam sections in pH8 EDTA for 20 min.
IHC testing of FFPE human hepatocellular carcinoma tissue with ATP Citrate Lyase antibody at 2ug/ml. HIER: steam sections in pH8 EDTA for 20 min.
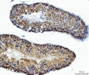
IHC testing of FFPE mouse testis tissue with ATP Citrate Lyase antibody at 2ug/ml. HIER: steam sections in pH8 EDTA for 20 min.
IHC testing of FFPE rat testis tissue with ATP Citrate Lyase antibody at 2ug/ml. HIER: steam sections in pH8 EDTA for 20 min.
IF/ICC staining of FFPE human A549 cells with ATP Citrate Lyase antibody (red) at 5ug/ml and DAPI nuclear stain (blue). HIER: steam section in pH6 citrate buffer for 20 min.
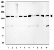
Western blot testing of human 1) A549, 2) MOLT4, 3) U-87 MG, 4) U-251, 5) 293T, 6) Hela, 7) T-47D, 8) HepG2, 9) rat pancreas and 10) mouse NIH 3T3 cell lysate with ATP Citrate Lyase antibody at 0.5ug/ml. Predicted molecular weight ~121 kDa.
Flow cytometry testing of human HepG2 cells with ATP Citrate Lyase antibody at 1ug/10^6 cells (blocked with goat sera); Red=cells alone, Green=isotype control, Blue=ATP Citrate Lyase antibody.
Availability 1-3 business days
Species Reactivity Human, Mouse, Rat
Format Antigen affinity purified
Clonality Polyclonal (rabbit origin)
Isotype Rabbit IgG
Purity Antigen affinity
Buffer Lyophilized from 1X PBS with 2% Trehalose
UniProt P53396
Localization Cytoplasmic, nuclear
Applications Western Blot : 0.5-1ug/ml
Immunohistochemistry (FFPE) : 2-4ug/ml
Immunofluorescence/Immunocytochemistry (FFPE) : 5ug/ml
Flow Cytometry : 1-3ug/10^6 cells
Limitations This ATP Citrate Lyase antibody is available for research use only.
Review this product on BioCompare and get a $20 Amazon gift card

Related Products

Description

ATP citrate lyase, aslo known as ACLY, is an enzyme that in animals represents an important step in fatty acid biosynthesis. ATP citrate lyase is the primary enzyme responsible for the synthesis of cytosolic acetyl-CoA in many tissues. The enzyme is a tetramer of apparently identical subunits. The product, acetyl-CoA, in animals serves several important biosynthetic pathways, including lipogenesis and cholesterogenesis. It is activated by insulin. In nervous tissue, ATP citrate-lyase may be involved in the biosynthesis of acetylcholine. In plants, ATP citrate lyase generates the acetyl-CoA for cytosolically-synthesized metabolites.

Application Notes

Differences in protocols and secondary/substrate sensitivity may require the ATP Citrate Lyase antibody to be titrated for optimal performance.

Immunogen

Amino acids M1-I180 from the human protein were used as the immunogen for the ATP Citrate Lyase antibody.

Storage

After reconstitution, the ATP Citrate Lyase antibody can be stored for up to one month at 4oC. For long-term, aliquot and store at -20oC. Avoid repeated freezing and thawing.

Cross
Bulk Quote Request Form
Name*:
Organization*:
Email*:
Phone Number*:
Catalog No.*:
Comments and Specifics(amount, formulation, etc.)*:
Validation code: Captchapackage Image


Can't read the image? click here to refresh.
    *required field

Your bulk quote request has been submitted successfully!

Please contact us if you have any questions.