• Tel: 858.663.9055
  • SeparatorEmail: info@nsjbio.com
  • Tel: 858.663.9055
  • Email: info@nsjbio.com
Home >> Antibodies >> ATP Citrate Lyase Antibody

ATP Citrate Lyase Antibody [clone 5I2] (RQ5221)

  Catalog No Formulation Size Price (USD)  
Image RQ5221 0.5mg/ml if reconstituted with 0.2ml sterile DI water 100 ul 439
Bulk quote request
Immunofluorescent staining of FFPE human MCF7 cells with ATP Citrate Lyase antibody (green) and DAPI nuclear stain (blue). HIER: steam section in pH6 citrate buffer for 20 min.
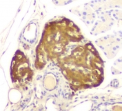
IHC staining of FFPE human pancreas with ATP Citrate Lyase antibody. HIER: boil tissue sections in pH8 EDTA for 20 min and allow to cool before testing.
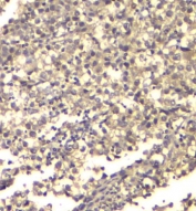
IHC staining of FFPE human testis cancer with ATP Citrate Lyase antibody. HIER: boil tissue sections in pH8 EDTA for 20 min and allow to cool before testing.
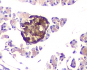
IHC staining of FFPE mouse pancreas with ATP Citrate Lyase antibody. HIER: boil tissue sections in pH8 EDTA for 20 min and allow to cool before testing.
IHC staining of FFPE rat pancreas with ATP Citrate Lyase antibody. HIER: boil tissue sections in pH8 EDTA for 20 min and allow to cool before testing.
Western blot testing of human 1) placenta, 2) U-87 MG, 3) HEK293, 4) Caco-2, 5) HL-60, 6) Raji, 7) ThP-1 and 8) PANC-1 lysate with ATP Citrate Lyase antibody.
Western blot testing of rat 1) lung, 2) testis, 3) kidney, 4) brain, and mouse 5) lung, 6) testis and 7) kidney lysate with ATP Citrate Lyase antibody.
Flow cytometry testing of human A549 cells with ATP Citrate Lyase antibody at 1ug/million cells (blocked with goat sera); Red=cells alone, Green=isotype control, Blue= ATP Citrate Lyase antibody.
Availability 1-3 business days
Species Reactivity Human, Mouse, Rat
Format Antigen affinity purified
Clonality Monoclonal (mouse origin)
Isotype Mouse IgG2b
Clone Name 5I2
Purity Affinity purified
Buffer Lyophilized from 1X PBS with 2% Trehalose and 0.025% sodium azide
UniProt P53396
Applications Western Blot : 0.1-0.5ug/ml
Immunohistochemistry(FFPE) : 0.5-1ug/ml
Flow Cytometry : 1-3ug/1x10^6 cells
Immunofluorescence : 2-4ug/ml
Limitations This ATP Citrate Lyase antibody is available for research use only.
Review this product on BioCompare and get a $20 Amazon gift card

Description

ATP citrate lyase, aslo known as ACLY,is anenzymethat in animals represents an important step infatty acid biosynthesis. ATP citrate lyase is the primary enzyme responsible for the synthesis ofcytosolicacetyl-CoAin many tissues. The enzyme is a tetramer of apparently identical subunits. The product, acetyl-CoA, in animals serves several important biosynthetic pathways, includinglipogenesis andcholesterogenesis.It is activated by insulin. In nervous tissue, ATP citrate-lyase may be involved in the biosynthesis of acetylcholine.In plants, ATP citrate lyase generates the acetyl-CoA for cytosolically-synthesized metabolites.

Application Notes

Optimal dilution of the ATP Citrate Lyase antibody should be determined by the researcher.

Immunogen

A human recombinant protein (amino acids M1-I180) was used as the immunogen for the ATP Citrate Lyase antibody.

Storage

After reconstitution, the ATP Citrate Lyase antibody can be stored for up to one month at 4oC. For long-term, aliquot and store at -20oC. Avoid repeated freezing and thawing.

Cross
Bulk Quote Request Form
Name*:
Organization*:
Email*:
Phone Number*:
Catalog No.*:
Comments and Specifics(amount, formulation, etc.)*:
Validation code: Captchapackage Image


Can't read the image? click here to refresh.
    *required field

Your bulk quote request has been submitted successfully!

Please contact us if you have any questions.