• Tel: 858.663.9055
  • SeparatorEmail: info@nsjbio.com
  • Tel: 858.663.9055
  • Email: info@nsjbio.com
Home >> Antibodies >> Atlastin-1 Antibody / ATL1 / SPG3A

Atlastin-1 Antibody / ATL1 / SPG3A (RQ6822)

  Catalog No Formulation Size Price (USD)  
Image RQ6822 0.5mg/ml if reconstituted with 0.2ml sterile DI water 100 ug 439
Bulk quote request
IHC staining of FFPE human lymphoma tissue with Atlastin-1 antibody. HIER: boil tissue sections in pH8 EDTA for 20 min and allow to cool before testing.
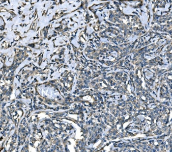
IHC staining of FFPE human stomach cancer tissue with Atlastin-1 antibody. HIER: boil tissue sections in pH8 EDTA for 20 min and allow to cool before testing.
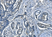
IHC staining of FFPE adenocarcinoma of the colon with Atlastin-1 antibody. HIER: boil tissue sections in pH8 EDTA for 20 min and allow to cool before testing.
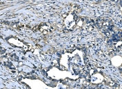
IHC staining of FFPE human cervical cancer with Atlastin-1 antibody. HIER: boil tissue sections in pH8 EDTA for 20 min and allow to cool before testing.
Western blot testing of human 1) 293T, 2) SiHa and 3) SH-SY5Y cell lysate with Atlastin-1 antibody. Predicted molecular weight ~64 kDa.
Flow cytometry testing of human U-87 MG cells with Atlastin-1 antibody at 1ug/million cells (blocked with goat sera); Red=cells alone, Green=isotype control, Blue= Atlastin-1 antibody.
Availability 1-3 business days
Species Reactivity Human
Format Antigen affinity purified
Clonality Polyclonal (rabbit origin)
Isotype Rabbit IgG
Purity Antigen affinity purified
Buffer Lyophilized from 1X PBS with 2% Trehalose
UniProt Q8WXF7
Localization Cytoplasmic
Applications Western Blot : 1-2ug/ml
Immunohistochemistry (FFPE) : 2-5ug/ml
Flow Cytometry : 1-3ug/million cells
Limitations This Atlastin-1 antibody is available for research use only.
Review this product on BioCompare and get a $20 Amazon gift card

Description

Atlastin, or Atlastin-1, is a protein that in humans is encoded by the ATL1 gene. The protein encoded by this gene is a GTPase and a Golgi body transmembrane protein. The encoded protein can form a homotetramer and has been shown to interact with spastin and with mitogen-activated protein kinase kinase kinase kinase 4. This protein may be involved in axonal maintenance as evidenced by the fact that defects in this gene are a cause of spastic paraplegia type 3. Three transcript variants encoding two different isoforms have been found for this gene.

Application Notes

Optimal dilution of the Atlastin-1 antibody should be determined by the researcher.

Immunogen

Amino acids DKPFLAPNDLQTKHLQ from the human protein were used as the immunogen for the Atlastin-1 antibody.

Storage

After reconstitution, the Atlastin-1 antibody can be stored for up to one month at 4oC. For long-term, aliquot and store at -20oC. Avoid repeated freezing and thawing.

Cross
Bulk Quote Request Form
Name*:
Organization*:
Email*:
Phone Number*:
Catalog No.*:
Comments and Specifics(amount, formulation, etc.)*:
Validation code: Captchapackage Image


Can't read the image? click here to refresh.
    *required field

Your bulk quote request has been submitted successfully!

Please contact us if you have any questions.