• Tel: 858.663.9055
  • SeparatorEmail: info@nsjbio.com
  • Tel: 858.663.9055
  • Email: info@nsjbio.com
Home >> Antibodies >> ATGL Antibody / PNPLA2

ATGL Antibody / PNPLA2 (R34823)

  Catalog No Formulation Size Price (USD)  
Image R34823-100UG 0.5 mg/ml in 1X TBS, pH7.3, with 0.5% BSA (US sourced) and 0.02% sodium azide 100 ug 449
Bulk quote request
Western blot testing of human adipose lysate with ATGL antibody at 0.5ug/ml. Predicted molecular weight ~55 kDa.
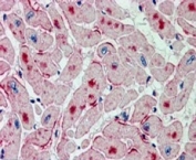
IHC staining of FFPE human heart with ATGL antibody at 2.5ug/ml. HIER: steamed with pH6 citrate buffer, AP-staining. Staining of distinct spots in the myocardial fibers (transverse section) is seen.
Availability 1-3 business days
Species Reactivity Human
Predicted Reactivity Mouse, Rat, Dog, Pig, Cow
Format Antigen affinity purified
Clonality Polyclonal (goat origin)
Isotype Goat Ig
Purity Antigen affinity
Gene ID 57104
Localization Lipid droplet, cell membrane
Applications Western Blot : 0.5-2ug/ml
Immunohistochemistry (FFPE) : 2-3ug/ml
ELISA (peptide) LOD : 1:32000
Limitations This ATGL antibody is available for research use only.
Review this product on BioCompare and get a $20 Amazon gift card

Related Products

Description

Additional name(s) for this target protein: Adipose triglyceride lipase, Desnutrin; PNPLA2

Application Notes

Optimal dilution of the ATGL antibody should be determined by the researcher.

Immunogen

Amino acids NIIEVSKEARKR were used as the immunogen for this ATGL antibody.

Storage

Aliquot and store the ATGL antibody at -20oC.

Cross
Bulk Quote Request Form
Name*:
Organization*:
Email*:
Phone Number*:
Catalog No.*:
Comments and Specifics(amount, formulation, etc.)*:
Validation code: Captchapackage Image


Can't read the image? click here to refresh.
    *required field

Your bulk quote request has been submitted successfully!

Please contact us if you have any questions.