• Tel: 858.663.9055
  • SeparatorEmail: info@nsjbio.com
  • Tel: 858.663.9055
  • Email: info@nsjbio.com
Home >> Antibodies >> ATG4B Antibody

ATG4B Antibody (RQ6821)

  Catalog No Formulation Size Price (USD)  
Image RQ6821 0.5mg/ml if reconstituted with 0.2ml sterile DI water 100 ug 439
Bulk quote request
Flow cytometry testing of human Jurkat cells with ATG4B antibody at 1ug/million cells (blocked with goat sera); Red=cells alone, Green=isotype control, Blue= ATG4B antibody.
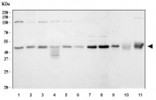
Western blot testing of 1) human HeLa, 2) human 293T, 3) human HepG2, 4) human Jurkat, 5) human RT4, 6) human MCF7, 7) human MOLT4, 8) human HEL, 9) rat brain, 10) rat liver and 11) rat RH35 cell lysate with ATG4B antibody. Expected molecular weight: 37-52 kDa (multiple isoforms).
Availability 1-3 business days
Species Reactivity Human, Rat
Format Antigen affinity purified
Clonality Polyclonal (rabbit origin)
Isotype Rabbit IgG
Purity Antigen affinity purified
Buffer Lyophilized from 1X PBS with 2% Trehalose
UniProt Q9Y4P1
Applications Western Blot : 1-2ug/ml
Flow Cytometry : 1-3ug/million cells
Direct ELISA : 0.1-0.5ug/ml
Limitations This ATG4B antibody is available for research use only.
Review this product on BioCompare and get a $20 Amazon gift card

Related Products

  • Applications : WB
    Reactivity : Human, Mouse
  • Applications : WB
    Reactivity : Human, Mouse, Rat
  • Applications : IHC-P, WB
    Reactivity : Human, Mouse
  • Applications : IHC-P, WB, IF
    Reactivity : Human

Description

Cysteine protease ATG4B is an enzyme that in humans is encoded by the ATG4B gene. Autophagy is the process by which endogenous proteins and damaged organelles are destroyed intracellularly. Autophagy is postulated to be essential for cell homeostasis and cell remodeling during differentiation, metamorphosis, non-apoptotic cell death, and aging. Reduced levels of autophagy have been described in some malignant tumors, and a role for autophagy in controlling the unregulated cell growth linked to cancer has been proposed. This gene encodes a member of the autophagin protein family. The encoded protein is also designated as a member of the C-54 family of cysteine proteases. Alternate transcriptional splice variants, encoding different isoforms, have been characterized.

Application Notes

Optimal dilution of the ATG4B antibody should be determined by the researcher.

Immunogen

Recombinant human protein (amino acids M1-L392) was used as the immunogen for the ATG4B antibody.

Storage

After reconstitution, the ATG4B antibody can be stored for up to one month at 4oC. For long-term, aliquot and store at -20oC. Avoid repeated freezing and thawing.

Cross
Bulk Quote Request Form
Name*:
Organization*:
Email*:
Phone Number*:
Catalog No.*:
Comments and Specifics(amount, formulation, etc.)*:
Validation code: Captchapackage Image


Can't read the image? click here to refresh.
    *required field

Your bulk quote request has been submitted successfully!

Please contact us if you have any questions.