• Tel: 858.663.9055
  • SeparatorEmail: info@nsjbio.com
  • Tel: 858.663.9055
  • Email: info@nsjbio.com
Home >> Antibodies >> ATG4B Antibody

ATG4B Antibody (F54715)

  Catalog No Formulation Size Price (USD)  
Image F54715-0.4ML In 1X PBS, pH 7.4, with 0.09% sodium azide 0.4 ml 429
Image
F54715-0.08ML In 1X PBS, pH 7.4, with 0.09% sodium azide 0.08 ml 199
Bulk quote request
Western blot testing of human HeLa cell lysate with ATG4B antibody. Expected molecular weight: 37-52 kDa (multiple isoforms).
Western blot testing of 1) non-transfected and 2) transfected 293 cell lysate with ATG4B antibody.
Immunofluorescent staining of fixed and permeabilized human U-251 cells (treated with 50 uM Chloroquine for 16 hr) with ATG4B antibody (green) and Hoechst 33342 nuclear stain (blue).
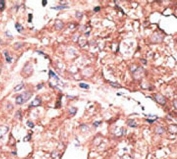
IHC testing of FFPE human cancer tissue with ATG4B antibody. HIER: steam section in pH6 citrate buffer for 20 min and allow to cool prior to staining.
Availability 1-3 business days
Species Reactivity Human
Format Purified
Clonality Polyclonal (rabbit origin)
Isotype Rabbit Ig
Purity Purified
UniProt Q9Y4P1
Localization Cytoplasmic
Applications Immunohistochemistry (FFPE) : 1:25
Western Blot : 1:500-1:2000
Immunofluorescence : 1:25
Limitations This ATG4B antibody is available for research use only.
Review this product on BioCompare and get a $20 Amazon gift card

Related Products

  • Applications : WB
    Reactivity : Human, Mouse
  • Applications : WB
    Reactivity : Human, Mouse, Rat
  • Applications : IHC-P, WB
    Reactivity : Human, Mouse
  • Applications : WB, FACS, Direct ELISA
    Reactivity : Human, Rat

Description

Macroautophagy is the major inducible pathway for the general turnover of cytoplasmic constituents in eukaryotic cells, it is also responsible for the degradation of active cytoplasmic enzymes and organelles during nutrient starvation. Macroautophagy involves the formation of double-membrane bound autophagosomes which enclose the cytoplasmic constituent targeted for degradation in a membrane bound structure, which then fuse with the lysosome (or vacuole) releasing a single-membrane bound autophagic bodies which are then degraded within the lysosome (or vacuole). APG4 is a cysteine protease required for autophagy, which cleaves the C-terminal part of either MAP1LC3, GABARAPL2 or GABARAP, allowing the liberation of form I. A subpopulation of form I is subsequently converted to a smaller form (form II). Form II, with a revealed C-terminal glycine, is considered to be the phosphatidylethanolamine (PE)-conjugated form, and has the capacity for the binding to autophagosomes.

Application Notes

The stated application concentrations are suggested starting points. Titration of the ATG4B antibody may be required due to differences in protocols and secondary/substrate sensitivity.

Immunogen

A portion of amino acids 358-390 from the human protein was used as the immunogen for the ATG4B antibody.

Storage

Aliquot the ATG4B antibody and store frozen at -20oC or colder. Avoid repeated freeze-thaw cycles.

Cross
Bulk Quote Request Form
Name*:
Organization*:
Email*:
Phone Number*:
Catalog No.*:
Comments and Specifics(amount, formulation, etc.)*:
Validation code: Captchapackage Image


Can't read the image? click here to refresh.
    *required field

Your bulk quote request has been submitted successfully!

Please contact us if you have any questions.