• Tel: 858.663.9055
  • SeparatorEmail: info@nsjbio.com
  • Tel: 858.663.9055
  • Email: info@nsjbio.com
Home >> Antibodies >> ATG4A Antibody

ATG4A Antibody (RQ5946)

  Catalog No Formulation Size Price (USD)  
Image RQ5946 0.5mg/ml if reconstituted with 0.2ml sterile DI water 100 ug 439
Bulk quote request
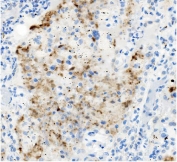
IHC staining of FFPE human rectal cancer with ATG4A antibody. HIER: boil tissue sections in pH8 EDTA for 20 min and allow to cool before testing.
IHC staining of FFPE human lung cancer with ATG4A antibody. HIER: boil tissue sections in pH8 EDTA for 20 min and allow to cool before testing.
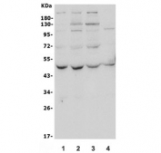
Western blot testing of human 1) HeLa, 2) HepG2, 3) PC-3 and 4) A549 lysate with ATG4A antibody. Predicted molecular weight ~45 kDa, commonly observed between 45-60 kDa.
Flow cytometry testing of human PC-3 cells with ATG4A antibody at 1ug/million cells (blocked with goat sera); Red=cells alone, Green=isotype control, Blue= ATG4A antibody.
Availability 1-3 business days
Species Reactivity Human
Format Antigen affinity purified
Clonality Polyclonal (rabbit origin)
Isotype Rabbit IgG
Purity Affinity purified
Buffer Lyophilized from 1X PBS with 2% Trehalose and 0.025% sodium azide
UniProt Q8WYN0
Applications Western Blot : 0.5-1ug/ml
Immunohistochemistry : 1-2ug/ml
Flow Cytometry : 1-3ug/million cells
Limitations This ATG4A antibody is available for research use only.
Review this product on BioCompare and get a $20 Amazon gift card

Related Products

  • Applications : WB, FACS, IHC-P, IF
    Reactivity : Human
  • Applications : IHC, ELISA (peptide)
    Reactivity : Human
  • Applications : WB, IHC-P
    Reactivity : Human, Mouse
  • Applications : WB, FACS, Direct ELISA
    Reactivity : Human, Mouse, Rat

Description

Cysteine protease ATG4A is an enzyme that in humans is encoded by the ATG4A gene. It is mapped to Xq22.3. Autophagy is the process by which endogenous proteins and damaged organelles are destroyed intracellularly. Autophagy is postulated to be essential for cell homeostasis and cell remodeling during differentiation, metamorphosis, non-apoptotic cell death, and aging. Reduced levels of autophagy have been described in some malignant tumors, and a role for autophagy in controlling the unregulated cell growth linked to cancer has been proposed. This gene encodes a member of the autophagin protein family. The encoded protein is also designated as a member of the C-54 family of cysteine proteases.

Application Notes

Optimal dilution of the ATG4A antibody should be determined by the researcher.

Immunogen

Amino acids LSKYEDQITIFTDYLEEYPD from the human protein were used as the immunogen for the ATG4A antibody.

Storage

After reconstitution, the ATG4A antibody can be stored for up to one month at 4oC. For long-term, aliquot and store at -20oC. Avoid repeated freezing and thawing.

Cross
Bulk Quote Request Form
Name*:
Organization*:
Email*:
Phone Number*:
Catalog No.*:
Comments and Specifics(amount, formulation, etc.)*:
Validation code: Captchapackage Image


Can't read the image? click here to refresh.
    *required field

Your bulk quote request has been submitted successfully!

Please contact us if you have any questions.