• Tel: 858.663.9055
  • SeparatorEmail: info@nsjbio.com
  • Tel: 858.663.9055
  • Email: info@nsjbio.com
Home >> Antibodies >> ATG-5 Antibody

ATG-5 Antibody (F46220)

  Catalog No Formulation Size Price (USD)  
Image F46220-0.4ML In 1X PBS, pH 7.4, with 0.09% sodium azide 0.4 ml 429
Image
F46220-0.08ML In 1X PBS, pH 7.4, with 0.09% sodium azide 0.08 ml 199
Bulk quote request
Western blot analysis of ATG-5 antibody and 293T cell lysate either nontransfected (Lane 1) or transiently transfected (2) with the human gene. Predicted molecular weight ATG5: ~32 kDa; ATG5/ATG12 heterodimer: ~56 kDa.
Western blot analysis of lysate from K562 cell line using ATG-5 antibody at 1:1000. Predicted molecular weight ATG5: ~32 kDa; ATG5/ATG12 heterodimer: ~56 kDa.
ATG-5 antibody western blot analysis in uterus tumor lysate. Predicted molecular weight ATG5: ~32 kDa; ATG5/ATG12 heterodimer: ~56 kDa.
Fluorescent image of U251 cells stained with ATG-5 antibody at 1:200. Immunoreactivity is localized to autophagic vacuoles in the cytoplasm.
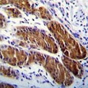
ATG-5 antibody immunohistochemistry analysis in formalin fixed and paraffin embedded human stomach tissue.
Availability 1-3 business days
Species Reactivity Human
Format Purified
Clonality Polyclonal (rabbit origin)
Isotype Rabbit Ig
Purity Purified
UniProt Q9H1Y0
Applications Western Blot : 1:500
Immunofluorescence : 1:200
IHC (Paraffin) : 1:10-1:50
Limitations This ATG-5 antibody is available for research use only.
Review this product on BioCompare and get a $20 Amazon gift card

Related Products

  • Applications : IHC-P
    Reactivity : Human
    Recmousemono
    Microvalidated
  • Applications : ELISA
    Reactivity : Human
    Recrabbitmono
  • Applications : ELISA, WB, IHC-P
    Reactivity : Human
    Microvalidated
  • Applications : WB
    Reactivity : Human, Rat
  • Applications : ELISA, WB, IHC-P
    Reactivity : Human
  • Applications : ELISA, WB, IHC-P
    Reactivity : Human
  • Applications : WB
    Reactivity : Human, Mouse, Rat
  • Applications : WB, IHC, IF, ELISA
    Reactivity : Human, Mouse
    Pred. Reactivity : Rat, Bovine, Pig
  • Applications : WB, IHC, IF, ELISA
    Reactivity : Human, Mouse
  • Applications : WB, ELISA
    Reactivity : Human, Zebrafish
  • Applications : WB, ELISA
    Reactivity : Mouse, Zebrafish
  • Applications : IHC-P
    Reactivity : Zebrafish

Description

Macroautophagy is the major inducible pathway for the general turnover of cytoplasmic constituents in eukaryotic cells, it is also responsible for the degradation of active cytoplasmic enzymes and organelles during nutrient starvation. Macroautophagy involves the formation of double-membrane bound autophagosomes which enclose the cytoplasmic constituent targeted for degradation in a membrane bound structure, which then fuse with the lysosome (or vacuole) releasing a single-membrane bound autophagic bodies which are then degraded within the lysosome (or vacuole). APG5, required for autophagy, conjugates to ATG12 and associates with an isolation membrane to form a cup-shaped isolation membrane and autophagosome. The conjugate detaches from the membrane immediately before or after autophagosome formation is completed. APG5 may also play an important role in the apoptotic process, possibly within the modified cytoskeleton. Its expression is a relatively late event in the apoptotic process, occurring downstream of caspase activity.

Application Notes

Titration of the ATG-5 antibody may be required due to differences in protocols and secondary/substrate sensitivity.

Immunogen

This ATG-5 antibody was produced from rabbits immunized with a KLH conjugated synthetic peptide selected from the full length of human ATG5.

Storage

Aliquot the ATG-5 antibody and store frozen at -20oC or colder. Avoid repeated freeze-thaw cycles.

Cross
Bulk Quote Request Form
Name*:
Organization*:
Email*:
Phone Number*:
Catalog No.*:
Comments and Specifics(amount, formulation, etc.)*:
Validation code: Captchapackage Image


Can't read the image? click here to refresh.
    *required field

Your bulk quote request has been submitted successfully!

Please contact us if you have any questions.