• Tel: 858.663.9055
  • SeparatorEmail: info@nsjbio.com
  • Tel: 858.663.9055
  • Email: info@nsjbio.com
Home >> Antibodies >> ATF6 Antibody

ATF6 Antibody [clone AF6229] (N1111)

  Catalog No Formulation Size Price (USD)  
Image N1111-100UG 0.5 mg/ml in 1X PBS with 0.1 mg/ml BSA (US sourced), 0.05% sodium azide 100 ug 429
Image
N1111-25UG 0.5 mg/ml antibody in PBS with 0.1 mg/ml BSA (US source) and 0.05% sodium azide 25 219
Bulk quote request
Western blot testing of human samples with ATF6 antibody (AF6229) at 2ug/ml. Predicted molecular weight: 75~90kDa.
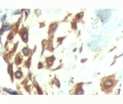
IHC testing of FFPE human breast tissue with ATF6 antibody at 5ug/ml.
Availability 2-3 business days
Species Reactivity Human, Mouse, Rat
Format Purified
Clonality Monoclonal (mouse origin)
Isotype IgG1, kappa
Clone Name AF6229
Purity Protein G purified monoclonal antibody
Buffer 1X PBS, pH 7.4
Gene ID 22926
Localization Cytoplasmic
Applications Western Blot : 2-4ug/ml (2)
Immunohistochemistry (FFPE) : 5ug/ml (1)
Limitations This ATF6 antibody is available for research use only.
Review this product on BioCompare and get a $20 Amazon gift card

Related Products

  • Applications : WB, IHC, FACS, ELISA
    Reactivity : Human
    Pred. Reactivity : Mouse, Rat
  • Applications : WB, ELISA (peptide)
    Reactivity : Human
    Pred. Reactivity : Cow, Dog, Pig, Rat
  • Applications : WB, IHC-P
    Reactivity : Human, Mouse, Rat
  • Applications : WB, IF, FACS, IHC-P, Direct ELISA
    Reactivity : Human

Description

ER stress can cause the accumulation of unfolded proteins and lead to the activation of the UPR (unfolded proetin response). Cells have developed an intracellular signaling pathway to deal with this stress, and Activating Transcription Factor 6 (ATF6) is a major transducer of the UPR. Upon activation, ATF6 seperates from GPR78 and is cleaved. The ~50 kD cytosolic portion of ATF6 translocates to the nucleus, transmitting the ER stress signal. In the nucleus, ATF6 activates the transcription of UPR-responsive genes by biniding to their ERSE (ER stress response element) region.

Application Notes

ATF6 is a 670 amino acid protein that migrates in western blot between 70~90 kD due to glycosylation.

1. Staining of formalin-fixed tissues requires boiling tissue sections in 10mM citrate buffer, pH 6.0, for 10-20 min followed by cooling at RT for 20 minutes.

Immunogen

A recombinant protein fragment from the N-terminal region of human ATF6 was used as the immunogen for this antibody.

Storage

Aliquot the antibody and store frozen at -20oC or colder. Avoid repeated freeze-thaw cycles.

Alternate Names

Activating Transcription Factor 6

Cross
Bulk Quote Request Form
Name*:
Organization*:
Email*:
Phone Number*:
Catalog No.*:
Comments and Specifics(amount, formulation, etc.)*:
Validation code: Captchapackage Image


Can't read the image? click here to refresh.
    *required field

Your bulk quote request has been submitted successfully!

Please contact us if you have any questions.