• Tel: 858.663.9055
  • SeparatorEmail: info@nsjbio.com
  • Tel: 858.663.9055
  • Email: info@nsjbio.com
Home >> Antibodies >> Ataxin-2 Antibody

Ataxin-2 Antibody (R31210)

  Catalog No Formulation Size Price (USD)  
Image R31210 0.5mg/ml if reconstituted with 0.2ml sterile DI water 100 ug 439
Bulk quote request
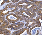
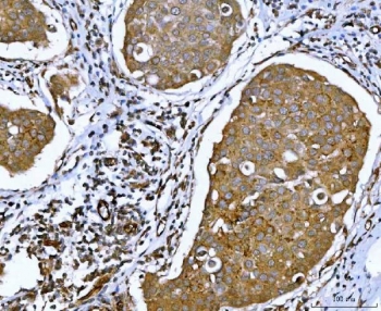
IHC staining of FFPE human breast cancer tissue with Ataxin-2 antibody. HIER: boil tissue sections in pH8 EDTA for 20 min and allow to cool before testing.
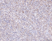
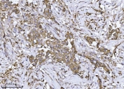
IHC staining of FFPE human rectal cancer tissue with Ataxin-2 antibody. HIER: boil tissue sections in pH8 EDTA for 20 min and allow to cool before testing.
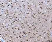
IHC staining of FFPE mouse brain tissue with Ataxin-2 antibody. HIER: boil tissue sections in pH8 EDTA for 20 min and allow to cool before testing.
IHC staining of FFPE rat brain tissue with Ataxin-2 antibody. HIER: boil tissue sections in pH8 EDTA for 20 min and allow to cool before testing.
Immunofluorescent staining of FFPE mouse brain tissue with Ataxin-2 antibody (red) and DAPI nuclear stain (blue). HIER: steam section in pH8 EDTA buffer for 20 min.
Immunofluorescent staining of FFPE rat brain tissue with Ataxin-2 antibody (red) and DAPI nuclear stain (blue). HIER: steam section in pH8 EDTA buffer for 20 min.
Western blot testing of 1) human K562, 2) human A549, 3) rat brain, 4) rat liver, 5) mouse brain and 6) mouse liver tissue lysate with Ataxin-2 antibody. Expected molecular weight: 114~140 kDa.
Flow cytometry testing of fixed and permeabilized human RT4 cells with Ataxin-2 antibody at 1ug/10^6 cells (blocked with goat sera); Red=cells alone, Green=isotype control, Blue=Ataxin-2 antibody.
Availability 1-3 business days
Species Reactivity Human, Mouse, Rat
Format Antigen affinity purified
Clonality Polyclonal (rabbit origin)
Isotype Rabbit IgG
Purity Antigen affinity
Buffer Lyophilized from 1X PBS with 2% Trehalose
UniProt Q99700
Localization Cytoplasmic
Applications Western Blot : 0.5-1ug/ml
Flow Cytometry : 1-3ug/10^6 cells
Immunofluorescence (FFPE) : 5ug/ml
Immunohistochemistry (FFPE) : 2-5 ug/ml
Limitations This Ataxin-2 antibody is available for research use only.
Review this product on BioCompare and get a $20 Amazon gift card

Related Products

Description

Ataxin-2, the protein encoded by the ATXN2 gene, contains a polyglutamine tract, long expansions (greater than 33 repeats) of which result in spinocerebellar ataxia-2 (SCA2), an autosomal dominant form of olivopontocerebellar atrophy. The gene for spinocerebellar ataxia type 2 (SCA2) has been mapped to 12q24.1. Ataxin-2 associates with L- and T-plastin and overexpression leads to accumulation of T-plastin in mammalian cells.

Application Notes

The stated application concentrations are suggested starting amounts. Titration of the Ataxin-2 antibody may be required due to differences in protocols and secondary/substrate sensitivity.

Immunogen

An amino acid sequence from the C-terminus of human Ataxin-2 (TTAHFPYMTHPSVQAHHQQQL) was used as the immunogen for this Ataxin-2 antibody (100% mouse homology).

Storage

After reconstitution, the Ataxin-2 antibody can be stored for up to one month at 4oC. For long-term, aliquot and store at -20oC. Avoid repeated freezing and thawing.

Cross
Bulk Quote Request Form
Name*:
Organization*:
Email*:
Phone Number*:
Catalog No.*:
Comments and Specifics(amount, formulation, etc.)*:
Validation code: Captchapackage Image


Can't read the image? click here to refresh.
    *required field

Your bulk quote request has been submitted successfully!

Please contact us if you have any questions.