• Tel: 858.663.9055
  • SeparatorEmail: info@nsjbio.com
  • Tel: 858.663.9055
  • Email: info@nsjbio.com
Home >> Antibodies >> Ataxin 1 Antibody / ATXN1

Ataxin 1 Antibody / ATXN1 [clone 2B13G8] (RQ7132)

  Catalog No Formulation Size Price (USD)  
Image RQ7132 0.5mg/ml if reconstituted with 0.2ml sterile DI water 100 ug 439
Bulk quote request
IHC staining of FFPE human laryngeal squamous cell carcinoma tissue with Ataxin 1 antibody. HIER: boil tissue sections in pH8 EDTA for 20 min and allow to cool before testing.
IHC staining of FFPE human thyroiditis tissue with Ataxin 1 antibody. HIER: boil tissue sections in pH8 EDTA for 20 min and allow to cool before testing.
IHC staining of FFPE human hepatocellular carcinoma tissue with Ataxin 1 antibody. HIER: boil tissue sections in pH8 EDTA for 20 min and allow to cool before testing.
IHC staining of FFPE mouse brain tissue with Ataxin 1 antibody. HIER: boil tissue sections in pH8 EDTA for 20 min and allow to cool before testing.
IHC staining of FFPE rat brain tissue with Ataxin 1 antibody. HIER: boil tissue sections in pH8 EDTA for 20 min and allow to cool before testing.
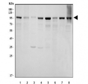
Western blot testing of 1) human HepG2, 2) human 293T, 3) human A431, 4) human PC-3, 5) rat brain, 6) rat liver, 7) mouse brain and 8) mouse liver tissue lysate with Ataxin 1 antibody. Commonly observed molecular weight: 87-105 kDa.
Flow cytometry testing of human PC-3 cells with Ataxin 1 antibody at 1ug/million cells (blocked with goat sera); Red=cells alone, Green=isotype control, Blue= Ataxin 1 antibody.
Flow cytometry testing of mouse ANA-1 cells with Ataxin 1 antibody at 1ug/million cells (blocked with goat sera); Red=cells alone, Green=isotype control, Blue= Ataxin 1 antibody.
Flow cytometry testing of rat NRK cells with Ataxin 1 antibody at 1ug/million cells (blocked with goat sera); Red=cells alone, Green=isotype control, Blue= Ataxin 1 antibody.
Availability 1-3 business days
Species Reactivity Human, Mouse, Rat
Format Antigen affinity purified
Clonality Monoclonal (mouse origin)
Isotype Mouse IgG2b
Clone Name 2B13G8
Purity Antigen affinity purified
Buffer Lyophilized from 1X PBS with 2% Trehalose
UniProt P54253
Localization Cytoplasm, Nucleus
Applications Western Blot : 0.5-1ug/ml
Immunohistochemistry (FFPE) : 2-5ug/ml
Flow Cytometry : 1-3ug/million cells
Limitations This Ataxin 1 antibody is available for research use only.
Review this product on BioCompare and get a $20 Amazon gift card

Related Products

  • Applications : WB, IHC-P, IF, FACS
    Reactivity : Human, Mouse, Rat

Description

Ataxin-1 is a protein that in humans is encoded by the ATXN1 gene. It is a causative factor for spinocerebellar ataxia type 1 (SCA1), and the related Brother of ATXN1 (BOAT1), are human proteins involved in transcriptional repression. ATXN1 and BOAT1 might participate in several Notch-controlled developmental and pathological processes.

Application Notes

Optimal dilution of the Ataxin 1 antibody should be determined by the researcher.

Immunogen

C-terminal amino acids ESRKLEKSEDEPPLTLPKPSLIPQEVKICIE were used as the immunogen for the Ataxin 1 antibody.

Storage

After reconstitution, the Ataxin 1 antibody can be stored for up to one month at 4oC. For long-term, aliquot and store at -20oC. Avoid repeated freezing and thawing.

Cross
Bulk Quote Request Form
Name*:
Organization*:
Email*:
Phone Number*:
Catalog No.*:
Comments and Specifics(amount, formulation, etc.)*:
Validation code: Captchapackage Image


Can't read the image? click here to refresh.
    *required field

Your bulk quote request has been submitted successfully!

Please contact us if you have any questions.