• Tel: 858.663.9055
  • SeparatorEmail: info@nsjbio.com
  • Tel: 858.663.9055
  • Email: info@nsjbio.com
Home >> Antibodies >> ASXL1 Antibody

ASXL1 Antibody (RQ4183)

  Catalog No Formulation Size Price (USD)  
Image RQ4183 0.5mg/ml if reconstituted with 0.2ml sterile DI water 100 ug 439
Bulk quote request
Flow cytometry testing of human HepG2 cells with ASXL1 antibody at 1ug/10^6 cells (blocked with goat sera); Red=cells alone, Green=isotype control, Blue= ASXL1 antibody.
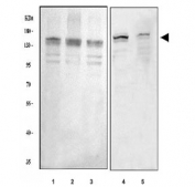
Western blot testing of 1) human 293T, 2) human MCF7, 3) human Caco-2, 4) rat C6 and 5) mouse NIH 3T3 cell lysate with ASXL1 antibody. Predicted molecular weight ~165 kDa.
Availability 1-3 business days
Species Reactivity Human, Mouse, Rat
Format Antigen affinity purified
Clonality Polyclonal (rabbit origin)
Isotype Rabbit IgG
Purity Antigen affinity purified
Buffer Lyophilized from 1X PBS with 2% Trehalose
UniProt Q8IXJ9
Applications Western Blot : 0.5-1ug/ml
Flow Cytometry : 1-3ug/10^6 cells
Limitations This ASXL1 antibody is available for research use only.
Review this product on BioCompare and get a $20 Amazon gift card

Related Products

  • Applications : WB, FACS, Direct ELISA
    Reactivity : Human
  • Applications : WB, IHC-P, FACS, IF
    Reactivity : Human, Mouse

Description

Putative Polycomb group protein ASXL1 is a protein that in humans is encoded by the ASXL1 gene. This gene is similar to the Drosophila additional sex combs gene, which encodes a chromatin-binding protein required for normal determination of segment identity in the developing embryo. The protein is a member of the Polycomb group of proteins, which are necessary for the maintenance of stable repression of homeotic and other loci. The protein is thought to disrupt chromatin in localized areas, enhancing transcription of certain genes while repressing the transcription of other genes. The protein encoded by this gene functions as a ligand-dependent co-activator for retinoic acid receptor in cooperation with nuclear receptor coactivator 1. Mutations in this gene are associated with myelodysplastic syndromes and chronic myelomonocytic leukemia. Alternative splicing results in multiple transcript variants.

Application Notes

Optimal dilution of the ASXL1 antibody should be determined by the researcher.

Immunogen

Amino acids KKERTWAEAARLVLENYSDAPMTPKQILQVIEAE were used as the immunogen for the ASXL1 antibody.

Storage

After reconstitution, the ASXL1 antibody can be stored for up to one month at 4oC. For long-term, aliquot and store at -20oC. Avoid repeated freezing and thawing.

Cross
Bulk Quote Request Form
Name*:
Organization*:
Email*:
Phone Number*:
Catalog No.*:
Comments and Specifics(amount, formulation, etc.)*:
Validation code: Captchapackage Image


Can't read the image? click here to refresh.
    *required field

Your bulk quote request has been submitted successfully!

Please contact us if you have any questions.