• Tel: 858.663.9055
  • SeparatorEmail: info@nsjbio.com
  • Tel: 858.663.9055
  • Email: info@nsjbio.com
Home >> Antibodies >> ASS1 Antibody

ASS1 Antibody (F49896)

  Catalog No Formulation Size Price (USD)  
Image F49896-0.4ML In 1X PBS, pH 7.4, with 0.09% sodium azide 0.4 ml 429
Image
F49896-0.08ML In 1X PBS, pH 7.4, with 0.09% sodium azide 0.08 ml 199
Bulk quote request
Western blot testing of human 1) A431, 2) MOLT4, 3) Jurkat, 4) PC-12, 5) mouse NIH3T3 and 6) mouse brain lysate with ASS1 antibody at 1:2000. Predicted molecular weight ~46 kDa.
Western blot testing of human 1) A431, 2) MOLT4, 3) Jurkat, 4) PC-12, 5) mouse NIH3T3 and 6) mouse brain lysate with ASS1 antibody at 1:2000. Predicted molecular weight ~46 kDa.
Confocal immunofluorescent analysis of ASS1 antibody with HeLa cells followed by Alexa Fluor 488-conjugated goat anti-rabbit lgG (green). DAPI was used as a nuclear counterstain (blue).
Immunofluorescent staining of permeabilized human HeLa cells with ASS1 antibody at 1:25 dilution, followed by Dylight 488-conjugated goat anti-rabbit lgG (green). Counterstains: blue (nuclear) and red (actin).
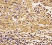
IHC testing of FFPE human cervical cancer with ASS1 antibody at 1:25 dilution. HIER: boil tissue sections in pH6, 10mM citrate buffer, for 10-20 min followed by cooling at RT for 20 min.
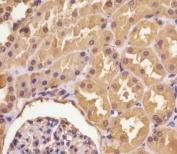
IHC testing of FFPE human kidney with ASS1 antibody at 1:25 dilution. HIER: boil tissue sections in pH6, 10mM citrate buffer, for 10-20 min followed by cooling at RT for 20 min.
Flow cytometric analysis of WiDr cells using ASS1 antibody (green) compared to a negative control (blue). FITC-conjugated goat-anti-rabbit secondary Ab was used for the analysis.
Availability 1-3 business days
Species Reactivity Human, Mouse
Predicted Reactivity Rat
Format Purified
Clonality Polyclonal (rabbit origin)
Isotype Rabbit Ig
Purity Purified
UniProt P00966
Localization Cytoplasmic
Applications Western Blot : 1:1000
IHC (Paraffin) : 1:50-1:100
Flow Cytometry : 1:10-1:50
Immunofluorescence : 1:10-1:50
Limitations This ASS1 antibody is available for research use only.
Review this product on BioCompare and get a $20 Amazon gift card

Related Products

Description

ASS1 catalyzes the penultimate step of the arginine biosynthetic pathway. There are approximately 10 to 14 copies of this gene including the pseudogenes scattered across the human genome, among which the one located on chromosome 9 appears to be the only functional gene for argininosuccinate synthetase.

Application Notes

Titration of the ASS1 antibody may be required due to differences in protocols and secondary/substrate sensitivity.

Immunogen

A portion of amino acids 192-221 from the human protein was used as the immunogen for this ASS1 antibody.

Storage

Aliquot the ASS1 antibody and store frozen at -20oC or colder. Avoid repeated freeze-thaw cycles.

Cross
Bulk Quote Request Form
Name*:
Organization*:
Email*:
Phone Number*:
Catalog No.*:
Comments and Specifics(amount, formulation, etc.)*:
Validation code: Captchapackage Image


Can't read the image? click here to refresh.
    *required field

Your bulk quote request has been submitted successfully!

Please contact us if you have any questions.